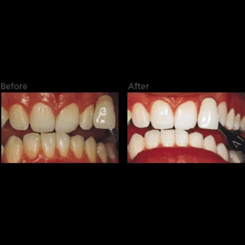
What is Poladay Teeth Whitening
Poladay teeth whitening is a professional-grade, at-home teeth whitening system often prescribed by dentists to brighten your smile. It utilizes a custom-fitted tray and a bleaching gel to lighten the color of your teeth. This method is highly effective at removing stains caused by coffee, tea, tobacco, and aging, resulting in a visibly whiter and more radiant smile. Unlike over-the-counter products, Poladay provides a higher concentration of whitening agents, leading to quicker and more dramatic results. The process is generally safe and can be tailored to your specific needs under the guidance of a dental professional. Understanding the components and procedure ensures you can use it effectively.
Poladay Teeth Whitening Components
The Poladay teeth whitening system consists of a few key components designed to work together to provide optimal whitening results. Knowing each part of the Poladay system will ensure you use it correctly. These components are essential for a successful and safe teeth whitening experience. It is important to use all of them to ensure the most successful outcome for a bright and white smile.
Poladay Whitening Gel

The Poladay whitening gel is the core of the system, containing a specific concentration of hydrogen peroxide or carbamide peroxide, the active bleaching agents. This gel penetrates the enamel of your teeth, breaking down stain molecules and lightening the color. The strength of the gel varies, so your dentist will determine the appropriate concentration based on your needs and the sensitivity of your teeth. It’s crucial to follow your dentist’s instructions on how much gel to use and how long to wear the tray to avoid potential side effects like gum irritation.
Custom Tray
A custom-fitted tray is another crucial component. Your dentist will create this tray by taking impressions of your teeth, ensuring a perfect fit. This custom fit is essential as it holds the whitening gel in close contact with your teeth, preventing leakage and maximizing effectiveness. The tray ensures that the gel covers all the surfaces of your teeth evenly, which helps you achieve consistent whitening results. The custom tray also protects your gums from the whitening gel, reducing the risk of irritation and sensitivity.
The Poladay Teeth Whitening Procedure
The Poladay teeth whitening procedure is straightforward when following your dentist’s instructions. Adhering to the steps correctly is very important. The process is usually completed at home, making it a convenient way to whiten your teeth. You should always consult with your dentist before starting the Poladay teeth whitening procedure. Understanding each step helps to ensure you achieve the best possible results. Properly following these steps is important for the health of your teeth and gums.
Preparation before Poladay

Before starting the Poladay teeth whitening process, thorough preparation is necessary to ensure the best results and minimize potential risks. This includes a comprehensive dental examination, where the dentist assesses the overall health of your teeth and gums. Any existing dental issues, such as cavities or gum disease, must be addressed before whitening. You should also discuss your expectations and any sensitivity concerns with your dentist, who can then customize the treatment plan accordingly. Proper preparation can maximize the effectiveness of the whitening process and protect your oral health.
Brush and Floss Teeth
Before applying the Poladay gel, it is important to thoroughly brush and floss your teeth. This removes any food particles, plaque, or debris that could hinder the whitening process. Brushing and flossing ensure that the whitening gel can make direct contact with the tooth surface, maximizing its effectiveness. Use a soft-bristled toothbrush and fluoride toothpaste, brushing gently for two minutes. Floss between your teeth to remove any trapped food or plaque. Clean teeth are essential for optimal whitening results.
Application Process
The application process is a critical part of the Poladay teeth whitening procedure. The correct steps will ensure that the gel is applied correctly and evenly, and can help maximize the whitening results. This includes applying the gel into the custom tray and inserting the tray into your mouth. Always be sure to follow your dentist’s specific instructions. Also, it is important to be patient as you wait for the treatment time to pass.
Applying the Gel

Apply a small amount of the Poladay whitening gel into the custom tray. A small bead of gel is placed along the inner surface of the tray, corresponding to each tooth that you want to whiten. Avoid overfilling the tray, as this can cause the gel to leak out and irritate your gums. Always adhere to the specific instructions provided by your dentist regarding the amount of gel to use. This precise application ensures that the gel effectively whitens your teeth without unnecessary risks.
Inserting the Tray
Once the gel is applied, carefully insert the tray into your mouth, ensuring it fits snugly over your teeth. Gently press the tray to ensure it is properly seated. Any excess gel should be wiped away with a clean tissue or cotton swab. This ensures that the whitening agent can reach the teeth effectively. Make sure the tray is comfortable and doesn’t cause any undue pressure or discomfort. Properly inserting the tray will maximize the whitening results.
Wearing Time
The wearing time for the Poladay whitening tray varies depending on the concentration of the whitening gel and your dentist’s instructions. Typically, you will wear the tray for a specific period, such as 30 minutes to several hours per day, or sometimes overnight. It’s crucial to strictly follow your dentist’s recommendations regarding wearing time to achieve the desired results and to avoid potential side effects like tooth sensitivity. Be patient, and consistently follow the recommended wearing time to achieve optimal whitening results.
Removing the Tray and Cleaning

After the specified wearing time, remove the tray from your mouth. Rinse your mouth thoroughly with water to remove any remaining gel. Clean the whitening tray with a soft toothbrush and cool water to remove any gel residue. Store the tray in a clean, dry place, such as the case provided by your dentist. Maintaining cleanliness will help to ensure the longevity of your tray. Careful cleaning will also minimize any risk of irritation or infection.
After Poladay Teeth Whitening
After completing the Poladay teeth whitening treatment, certain guidelines need to be followed to maintain the results and avoid any complications. Your teeth might be more sensitive immediately after whitening. It is important to understand what to avoid. Additionally, it is also important to know about potential side effects that might arise. Following these instructions can help you to enjoy the benefits of a whiter, brighter smile for a longer duration.
What to Avoid
For a few days after the whitening treatment, it is best to avoid foods and drinks that can stain your teeth. These include coffee, tea, red wine, dark sodas, and heavily pigmented foods like berries and tomato sauce. You should also avoid smoking or using tobacco products, as these can quickly stain your teeth. Following a white diet during this period can help to prevent the reabsorption of stains into your teeth. This will help you maintain your brighter smile for longer. If you do consume any staining substances, be sure to brush your teeth immediately afterward.
Potential Side Effects

While Poladay teeth whitening is generally safe, some potential side effects may occur. The most common side effects are tooth sensitivity and gum irritation. Tooth sensitivity may occur due to the whitening agents temporarily opening the pores in your enamel. Gum irritation can occur if the gel comes into contact with your gums. These side effects are usually temporary and subside within a few days after completing the treatment. Consult your dentist if any side effects persist or become severe. They can recommend desensitizing toothpaste or other treatments to alleviate discomfort.
Maintaining Results
To maintain the results of your Poladay teeth whitening treatment, it is important to adopt a few key practices. These will help to ensure the longevity of your whiter smile and keep your teeth healthy. Regular dental checkups are essential. Following a good oral hygiene routine is also very important. You will need to make some lifestyle changes. It is important to be mindful of what you consume.
Tips for Long-Lasting Whitening
To extend the effects of your Poladay whitening treatment, it is important to adopt some habits. Limit your consumption of staining foods and beverages, such as coffee, tea, and red wine. If you do consume these items, brush your teeth soon after. Use a whitening toothpaste and brush your teeth twice a day, and floss daily to remove plaque and debris. Avoid smoking and using tobacco products. Consider using a straw when drinking dark-colored beverages to minimize contact with your teeth. These practices will help your teeth stay bright and beautiful.
Regular Dental Checkups

Regular dental checkups and professional cleanings are essential for maintaining your bright smile and overall oral health. During these visits, your dentist can assess the effectiveness of your whitening treatment and address any potential issues. They can also provide professional cleanings to remove surface stains and keep your teeth healthy. Regular checkups help to prevent dental problems. Your dentist can offer advice on maintaining your results and keeping your teeth healthy and bright. Regular visits are a great investment in the longevity of your smile.
