Understanding Burned Gums From Whitening Treatment
Teeth whitening treatments, while effective in enhancing your smile, can sometimes lead to unwanted side effects, including burned gums. This can be a painful and concerning experience, but understanding the causes and how to address the issue is crucial for maintaining good oral health. This article delves into the complexities of burned gums from teeth whitening, offering insights into prevention, treatment, and aftercare. It provides a comprehensive guide to help you navigate this common issue and ensure your smile remains healthy and bright. Whether you’re considering teeth whitening or have already experienced gum irritation, this information will equip you with the knowledge to make informed decisions and take appropriate actions.
What Causes Burned Gums During Whitening?
Several factors can contribute to the burning of gum tissue during teeth whitening. These factors often stem from the interaction of the whitening agents with the delicate tissues of the mouth. The primary culprit is usually the active ingredient in whitening products, typically hydrogen peroxide or carbamide peroxide. When these chemicals come into contact with the gums, they can cause irritation and, in severe cases, burns. The concentration of the whitening agent, the duration of its application, and the individual’s sensitivity all play significant roles in the severity of the reaction. It’s important to understand these causes to prevent and mitigate the problem.
Chemical Burns from Whitening Products

Chemical burns occur when the whitening agents, particularly in high concentrations, come into direct contact with the gums for an extended period. This can happen if the whitening tray doesn’t fit properly, allowing the gel to leak onto the gums, or if the product is applied incorrectly. The chemical reaction causes the gum tissue to become inflamed and, in more serious instances, to blister or erode. The extent of the burn depends on several factors, including the concentration of the bleaching agent, the duration of exposure, and the individual’s sensitivity. The use of products with a high concentration of peroxide, without proper application techniques and precautions, increases the risk significantly.
Sensitivity and Irritation as Symptoms
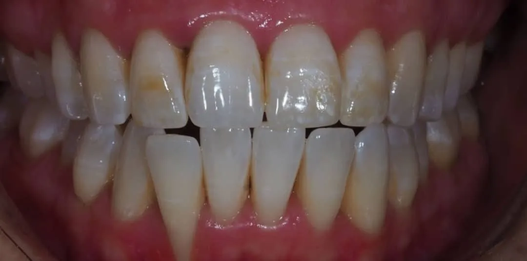
The initial signs of gum damage from teeth whitening often include increased sensitivity and irritation. You might experience a burning sensation, redness, and swelling in the gums. This sensitivity can make it uncomfortable to eat or drink, especially anything hot or cold. In more severe cases, the gums may turn white or develop blisters. These symptoms are clear indicators that the gum tissue has been affected and requires immediate attention. Recognizing these early warning signs is crucial for prompt intervention and preventing further damage. If you notice any of these symptoms, it is important to take immediate action and seek professional advice.
The Importance of Proper Whitening
Proper teeth whitening techniques and practices are essential to minimize the risk of gum damage. This includes using products as directed, ensuring that the whitening trays fit snugly to prevent gel leakage, and avoiding over-whitening. Consulting with a dentist before starting any whitening treatment is also highly recommended. Dentists can assess your oral health, identify potential risk factors, and provide personalized guidance. They can also offer professional whitening treatments that are carefully administered to reduce the chances of complications. Following professional advice and instructions carefully is key to achieving a brighter smile safely.
How to Heal Burned Gums

If you experience burned gums, it is important to take immediate steps to alleviate the pain and promote healing. The primary goal is to soothe the affected tissues and prevent further irritation. Various home remedies and professional treatments can help, but it’s crucial to act quickly and follow the appropriate guidelines. Ignoring the issue can lead to more severe complications, such as infections or lasting damage to the gum tissue. The following recommendations will guide you on how to heal burned gums effectively.
Immediate Steps After the Burn
The first thing to do after noticing burned gums is to rinse your mouth thoroughly with cool water. This helps to remove any remaining whitening product and soothe the affected areas. Avoid harsh mouthwashes that contain alcohol, as they can further irritate the gums. Gently brush your teeth, avoiding the irritated areas. It is best to stop the whitening treatment immediately. Evaluate the situation and the extent of the damage. Note the specific symptoms and seek help when needed. If the pain is intense or the damage appears severe, it is essential to consult a dentist immediately to get professional treatment.
Rinsing and Soothing Treatments
To soothe burned gums, rinse your mouth with a gentle solution several times a day. A saltwater rinse is a popular and effective method because it helps to reduce inflammation and promote healing. Make sure the water is lukewarm, as hot water can make the irritation worse. You can also use an over-the-counter oral anesthetic to numb the pain and provide temporary relief. Avoid spicy, acidic, and hard foods, as they can irritate the gums. Opt for soft, bland foods and drinks to give your gums a chance to heal. Applying a cold compress to the outside of your mouth can also reduce swelling and discomfort.
Using Salt Water Rinse

A saltwater rinse is one of the most common and effective home remedies for treating burned gums. To prepare it, dissolve half a teaspoon of salt in a cup of lukewarm water. Swish the solution gently around your mouth for about 30 seconds, then spit it out. Repeat this several times a day, especially after meals. Saltwater has natural antiseptic properties that help to cleanse the area and reduce the risk of infection. The solution also helps to draw out fluid from the swollen tissues, easing discomfort and promoting faster healing. Make sure to use clean water and avoid swallowing the solution.
Application of Aloe Vera
Aloe vera is well-known for its soothing and healing properties, making it a beneficial treatment for burned gums. Apply pure aloe vera gel directly to the affected areas. Aloe vera reduces inflammation and promotes tissue repair. Ensure that the aloe vera gel you use is pure and does not contain alcohol or other additives that could further irritate your gums. You can gently apply the gel several times a day, especially after rinsing your mouth. The soothing effect of aloe vera can help reduce pain and speed up the healing process, providing much-needed comfort during this time.
When to See a Dentist
In many cases, mild gum irritation can be managed at home with over-the-counter remedies. However, if the pain is severe, the burn is extensive, or you notice signs of infection, it is critical to consult a dentist. Signs of infection include increased swelling, pus, or fever. A dentist can assess the extent of the damage, provide professional treatment, and prescribe medications if necessary. They can also offer guidance on preventing future occurrences. Early intervention is crucial to prevent complications and ensure your oral health. Ignoring these symptoms can lead to more serious issues, such as infections or permanent damage to the gums.
Professional Treatments and Care

Dentists can provide several professional treatments to aid in healing burned gums. This might include prescribing medicated mouthwashes to reduce inflammation and promote healing. They might also recommend topical treatments to soothe the gums and protect them from further irritation. In severe cases, a dentist may perform a deep cleaning to remove any bacteria and prevent infection. Following the dentist’s instructions carefully, including taking any prescribed medications and attending follow-up appointments, is essential for optimal healing. Your dentist may also provide guidance on safe teeth whitening practices.
Preventing Burned Gums in the Future
Preventing burned gums involves being careful with the teeth whitening procedure. By being informed and cautious, you can maintain your bright smile without the risk of gum damage. There are several things you can do to minimize the risk and safeguard your oral health. The key is to be proactive and to follow safe practices. By understanding the causes and implementing preventative measures, you can enjoy the benefits of teeth whitening without the associated risks.
Choosing the Right Whitening Products
When selecting teeth whitening products, it’s essential to consider the concentration of the active ingredient and the type of product. Over-the-counter products often contain lower concentrations of hydrogen peroxide or carbamide peroxide compared to professional treatments. This makes them less likely to cause severe gum irritation, but they may also be less effective. Always read and follow the product instructions carefully. If you have sensitive gums, consult with your dentist about the best options for you. They can recommend products that are effective yet less likely to cause side effects. Be sure to research different products and read reviews from other users.
Professional vs. Over-the-Counter Options

Professional teeth whitening treatments, performed by a dentist, are generally safer and more effective than over-the-counter options. Dentists can use higher concentrations of whitening agents under controlled conditions, which provides faster and more noticeable results. They can also take measures to protect your gums and monitor your progress. Over-the-counter products, such as whitening strips and trays, are more accessible and affordable but may pose a higher risk of gum irritation, especially if not used correctly. They may also not be suitable for everyone. Consulting a dentist can help you weigh the pros and cons of each option and choose the right one.
Following Whitening Instructions
Carefully following the instructions provided with your teeth whitening product is essential to prevent gum irritation. This includes adhering to the recommended application time, the frequency of use, and any specific precautions. Overusing the product or leaving it on for too long can increase the risk of burns. Ensure that the whitening trays fit properly to prevent the gel from leaking onto your gums. If you’re using whitening strips, make sure to apply them correctly, avoiding contact with your gumline. Following instructions helps reduce the chances of burns and maximize your whitening results safely. Pay attention to any warnings or contraindications listed by the manufacturer.
Understanding the Application Process
Proper application is critical for preventing gum burns. When using whitening trays, ensure they fit snugly against your teeth, covering them completely without touching the gums. Excess gel should be wiped away immediately. If you are using whitening strips, apply them carefully, avoiding contact with your gumline. Be sure to read the product instructions thoroughly before starting the process. If you are unsure about the application, consult with your dentist. They can demonstrate the correct method and provide guidance to ensure you’re using the product safely and effectively. Remember that a small amount of prevention can go a long way in ensuring your oral health.
Post-Whitening Care and Maintenance

After completing your teeth whitening treatment, proper aftercare is vital to maintaining your results and ensuring the health of your gums. This includes maintaining good oral hygiene, avoiding certain foods and drinks, and attending regular dental check-ups. Proper post-whitening care can help you preserve your bright smile and prevent any potential complications. It helps to keep your gums healthy and your teeth looking their best. Following these simple guidelines can significantly improve your experience and the longevity of your results.
Maintaining Oral Hygiene
Maintain excellent oral hygiene by brushing your teeth twice a day with a soft-bristled toothbrush and flossing daily. This helps to remove plaque and bacteria, reducing the risk of gum irritation and infection. Use a fluoride toothpaste to strengthen your enamel and protect against tooth decay. Also, consider using an antibacterial mouthwash to further reduce bacteria in your mouth. Regular dental check-ups and professional cleanings are essential to maintain optimal oral health. Make an appointment with your dentist to identify and address any potential issues early on. Your oral hygiene is an investment in your smile and your overall health.
Dietary Considerations
Certain foods and drinks can stain your teeth and affect your whitening results. After your teeth whitening treatment, avoid consuming highly pigmented foods and beverages, such as coffee, tea, red wine, and berries, as they can stain your teeth. If you do consume these items, rinse your mouth with water immediately afterward. Avoid smoking, as it can stain your teeth and contribute to gum disease. Following a white diet, which includes foods like chicken, white rice, and cauliflower, can help maintain the brightness of your teeth. Additionally, a well-balanced diet rich in vitamins and minerals supports oral health and contributes to a beautiful, healthy smile.
