Understanding Bleached Gums from Teeth Whitening
Teeth whitening has become a very popular cosmetic procedure, promising a brighter, more confident smile. However, alongside the benefits, there are potential side effects, and one of the most visible is the appearance of bleached gums. This occurs when the bleaching agents used in whitening treatments come into contact with the soft tissues of your gums, leading to a noticeable whitening effect that can be uncomfortable and visually unappealing. Understanding the causes and preventative measures is key to enjoying the benefits of teeth whitening without the downside of bleached gums. This article will delve into the specifics of how to avoid this common issue, ensuring you can achieve a radiant smile safely and effectively, without compromising your oral health. It’s crucial to know the processes to prevent this problem before you start any whitening treatment.
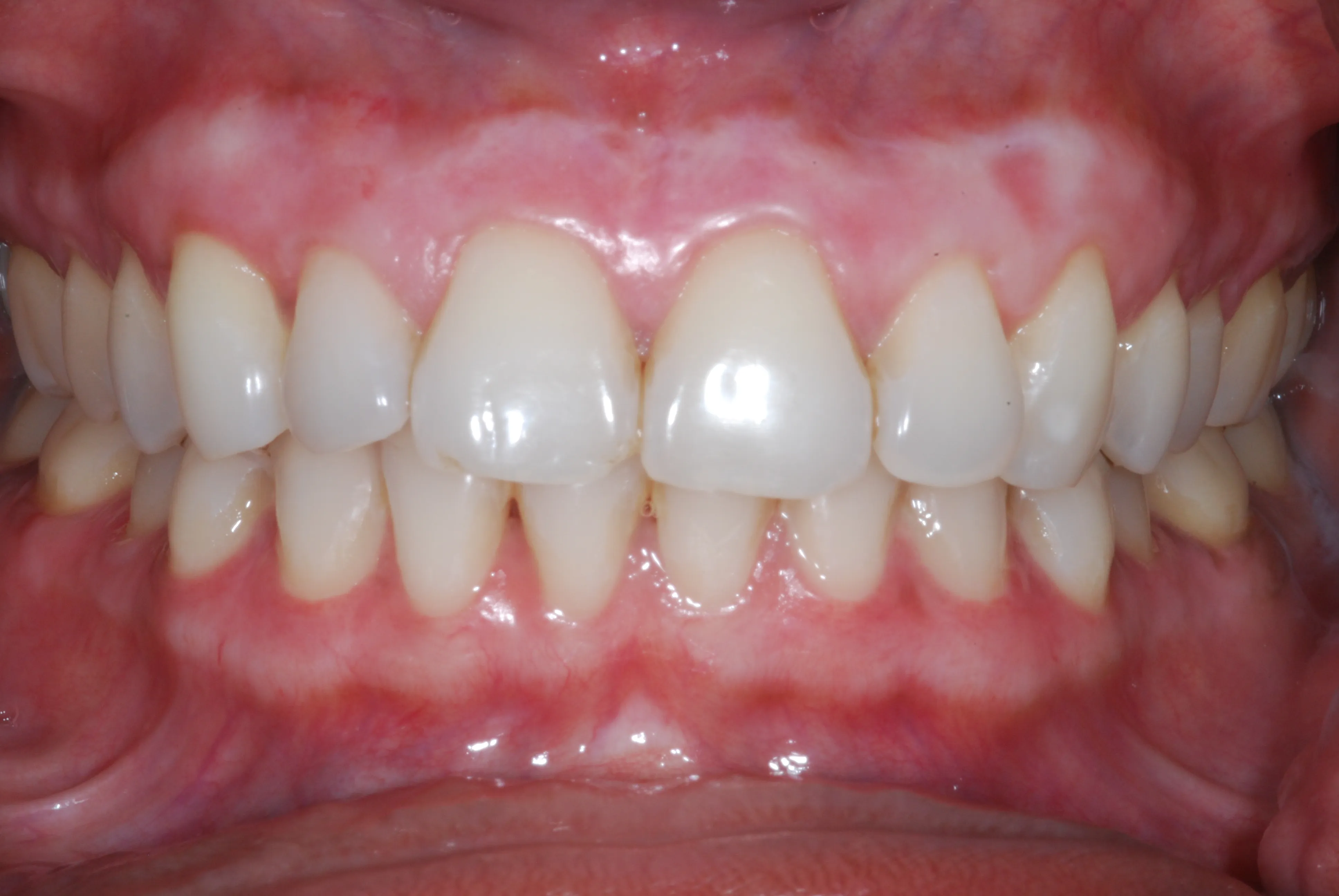
What Causes Bleached Gums
The primary cause of bleached gums during teeth whitening is the direct exposure of the gum tissues to the active ingredients in the whitening products. These products typically contain hydrogen peroxide or carbamide peroxide, which are designed to penetrate the enamel of your teeth and break down the staining molecules. When these chemicals come into contact with the gums, they can cause a chemical reaction. This reaction can lead to a temporary or, in some cases, more prolonged change in the gum tissue’s color, making them appear white or bleached. Several factors can increase the likelihood of this happening, including the concentration of the whitening agent, the duration of exposure, and the method of application. Understanding these factors is essential for taking preventative measures, which will be explored in the following sections, allowing you to whiten your teeth safely while preserving the health and appearance of your gums.
Overuse of Whitening Products

Overusing teeth whitening products is a common mistake that can significantly increase the risk of gum bleaching and other oral health issues. Following the recommended guidelines is crucial, whether you’re using over-the-counter products or undergoing professional treatments. Applying whitening treatments too frequently or for longer durations than advised can expose your gums to excessive amounts of the active chemicals. This prolonged exposure can cause irritation, inflammation, and bleaching. Always adhere to the instructions provided by your dentist or the product manufacturer, and never exceed the recommended usage. If you notice any signs of gum irritation, such as sensitivity, redness, or changes in color, discontinue use and consult with your dental professional immediately. Proper usage helps to maintain the health of your gums.
Improper Application Techniques
Improper application techniques are a significant contributor to gum bleaching during teeth whitening. When using at-home whitening kits, it is essential to ensure that the whitening agent is applied only to the teeth and not to the gums. This can be achieved by carefully following the instructions, ensuring that the whitening strips or trays fit correctly and do not overflow onto the gum tissue. For custom-fitted trays, make sure they are properly trimmed to avoid contact with the gums. When using whitening pens or gels, apply the product precisely to the tooth surfaces, being careful to avoid contact with the gums. If you undergo professional whitening, the dental professional will take measures to protect your gums, such as using a gingival barrier or applying a protective gel. Always pay close attention to application methods and follow the provided guidelines to minimize the risk of gum bleaching and ensure safe teeth whitening.
Sensitivity to Whitening Agents
Individual sensitivity to the whitening agents is another factor that can contribute to the risk of gum bleaching. Some individuals have naturally more sensitive gums and are more likely to experience adverse reactions to the chemicals in whitening products. Even if the product is used according to the instructions, those with sensitive gums may still experience irritation or bleaching. If you have known gum sensitivity, it is essential to discuss this with your dentist before starting any whitening treatment. They may recommend a lower concentration of the whitening agent or suggest alternative methods. Using desensitizing toothpaste before and during the whitening process can also help reduce the risk of sensitivity and irritation. If you notice any signs of discomfort, such as increased sensitivity or gum changes, it’s vital to stop the treatment and consult with your dentist to assess the situation and adjust your approach.
Prevention Strategies for Bleached Gums

Preventing bleached gums during teeth whitening requires a proactive approach, combining the right techniques with careful product selection. The key is to minimize the exposure of the gum tissue to the whitening agents while ensuring effective teeth whitening. Before starting, it’s helpful to have a consultation with your dentist to assess your oral health and discuss the best whitening options for your specific needs. They can offer personalized advice and recommend products with the appropriate concentrations and application methods to minimize risks. By taking these proactive steps, you can significantly reduce the likelihood of experiencing bleached gums and ensure a safer, more comfortable whitening experience, leading to a brighter, healthier smile.
Choosing the Right Whitening Method
Selecting the right teeth whitening method is a critical step in preventing gum bleaching. There are several options available, each with varying strengths and potential risks. Professional teeth whitening performed by a dentist typically involves stronger concentrations of hydrogen peroxide or carbamide peroxide but is applied under controlled conditions, minimizing the risk of gum contact. At-home whitening kits, such as strips, trays, and pens, offer convenience but require more careful application to prevent gum exposure. The choice should be based on your teeth’s condition, sensitivity, and the level of whitening you desire. Discuss your options with your dentist to determine which method is best suited for your needs, considering the potential risks and benefits of each approach. They can also guide you in the proper use of at-home products to minimize the risk of gum irritation and bleaching. This personalized approach guarantees a successful and safe teeth whitening experience.
Professional vs DIY Whitening Options
The decision between professional and DIY teeth whitening methods has implications for the risk of gum bleaching. Professional whitening offers the advantage of a controlled environment, where a dentist can protect your gums with barriers and precisely apply the whitening agent. They use stronger formulas that provide faster results. DIY options, like over-the-counter kits, are more affordable and convenient. Still, they may come with a higher risk of gum contact due to improper fit or application. Professional treatments often include pre-treatment assessments to identify potential sensitivities and custom-fitted trays, providing a more tailored and safer approach. When choosing, consider your oral health history, sensitivity levels, and the guidance of your dentist to find the safest and most effective option. While DIY options can be a good choice for minor whitening needs, professional treatments offer better safety and optimal results, especially when aiming to prevent gum bleaching.
Importance of Proper Application

Proper application is paramount in preventing gum bleaching, whether you opt for professional or at-home whitening. For at-home kits, it is essential to strictly follow the product instructions. Ensure that whitening strips are correctly placed, covering only the teeth and avoiding the gums. When using trays, make sure they fit snugly without overflowing the whitening gel onto the gums. Using too much gel can increase the risk of contact with your gums. If you are unsure about the application process, consult your dentist or a dental hygienist for guidance. Professional whitening relies on precise techniques, like the use of gingival barriers or protective gels, which prevent the whitening agent from touching the gums. The dentist ensures proper isolation of the teeth and controls the duration and concentration of the treatment. Careful and accurate application protects the gums, leading to a safe and effective teeth whitening experience with minimal risk of bleaching.
Protecting Your Gums During Whitening
Protecting your gums during teeth whitening is critical to avoiding bleaching and potential discomfort. Several methods can be employed to minimize the contact between the whitening agents and your gum tissue. When using at-home kits, it is important to trim whitening strips to fit your teeth perfectly, ensuring no overlap onto the gums. For tray-based systems, ensure that the trays are custom-fitted to prevent gel leakage. If you choose professional whitening, your dentist will use protective measures such as applying a gingival barrier or using a special gel to shield the gums from the whitening solution. They might also use cheek retractors to isolate the teeth and keep the gums dry during the procedure. Regular dental check-ups help identify issues early and allow the dentist to provide recommendations and personalized protective measures based on your oral health. By actively implementing these protective measures, you can successfully whiten your teeth while maintaining the health and appearance of your gums.
Using a Tray Correctly
Using a whitening tray correctly is vital to prevent gum bleaching and achieve optimal results. If your tray is custom-fitted, it will conform snugly to your teeth, reducing the chance of gel leakage onto your gums. Before applying the whitening gel, ensure your teeth are clean and dry. Apply a small amount of the gel evenly along the tray, following the manufacturer’s instructions for the recommended amount. Insert the tray into your mouth carefully, making sure it sits comfortably without pressing on your gums. Avoid overfilling the tray, as this can cause the gel to overflow and irritate your gums. Wear the tray for the recommended time as per the instructions. After removing the tray, rinse your mouth with water to remove any remaining gel, and clean the tray thoroughly. Sticking to these steps, along with regular monitoring of your gum’s condition, is key to a safe and effective whitening experience.
Applying Whitening Strips Safely

Applying whitening strips safely is essential to prevent bleached gums and ensure the best outcomes. Start by gently brushing and flossing your teeth to eliminate any food particles or plaque. Then, carefully peel the strips from their backing, ensuring your fingers don’t come into contact with the sticky surface. Place the strips on your teeth, aligning them along the gumline while trying to avoid contact with the gums. Press the strips firmly, molding them to the contours of your teeth. Fold any excess strip material behind your teeth to help secure them. Wear the strips for the recommended time duration provided by the manufacturer, typically 30 minutes. Once the time is up, carefully remove the strips and discard them. Rinse your mouth with water to remove any residual gel. Regular and proper application helps you get a brighter smile while keeping your gums healthy and free from any side effects.
Dealing with Existing Bleached Gums
If you have already experienced gum bleaching from teeth whitening, there are several ways to manage and treat this condition. First, it is crucial to stop using any whitening products immediately and consult with your dentist. They can assess the severity of the condition and recommend appropriate treatments. In many cases, the bleaching is temporary, and the gums will return to their natural color within a few days or weeks. During this time, it’s essential to maintain good oral hygiene, including gentle brushing and flossing. Your dentist might recommend using a desensitizing toothpaste to soothe any sensitivity. In more severe cases, especially if the bleaching is accompanied by pain or inflammation, your dentist might suggest professional treatments such as gum desensitization, or in rare cases, gum contouring procedures. Always follow your dentist’s advice and maintain regular check-ups to monitor your gum health and address any concerns promptly. Remember, early intervention is crucial to minimize the impact of bleached gums and restore your gum health.
Treatments for Bleached Gums
Treatments for bleached gums primarily focus on soothing the affected tissues and restoring their natural color. In most cases, especially when the bleaching is mild, the gums will heal naturally within a few weeks. During this healing period, the primary focus is on maintaining excellent oral hygiene. Gentle brushing with a soft-bristled toothbrush is recommended to avoid further irritation. Using a desensitizing toothpaste can also help to reduce any sensitivity. If the discomfort is significant, your dentist might recommend topical anti-inflammatory medications to alleviate pain and reduce inflammation. In more severe instances, where the gums are severely irritated or damaged, your dentist might suggest more advanced treatments. This could involve professional gum desensitization treatments or, in very rare cases, a minor surgical procedure to contour the gum tissue. Always consult with your dentist for personalized advice and treatment options. They can assess the severity of the damage and recommend the most appropriate course of action to ensure a quick recovery and restore the health and appearance of your gums.
When to See a Dentist

It’s crucial to know when to see a dentist if you experience gum bleaching during teeth whitening. If you notice any changes in your gum color, especially if accompanied by pain, sensitivity, or swelling, contact your dentist immediately. They can assess the extent of the damage and recommend the appropriate treatment. Moreover, if you’re experiencing any discomfort or have concerns regarding your whitening process, don’t hesitate to seek professional advice. Your dentist can evaluate your teeth and gums, and adjust the treatment accordingly. Regular dental check-ups are essential, whether you’re undergoing teeth whitening or not. Routine visits allow the dentist to monitor your oral health, detect problems early, and provide you with personalized advice to maintain a healthy smile. Therefore, any signs of gum bleaching or any other oral health concerns warrant a prompt visit to your dentist.
Long-Term Gum Health and Teeth Whitening
Maintaining long-term gum health is critical for anyone undergoing teeth whitening. The health of your gums directly affects the longevity and success of your whitening treatments. Healthy gums provide a solid foundation for your teeth, helping to prevent sensitivity and other oral health issues. Regularly practicing good oral hygiene, including brushing and flossing, keeps your gums healthy. Regular visits to your dentist for check-ups and professional cleanings are essential to monitor your gum health and address any issues promptly. Your dentist can also offer advice on the best practices for whitening your teeth without compromising your gum health. Long-term gum health involves a proactive approach to oral care, making teeth whitening a part of a comprehensive dental plan. By prioritizing your gum health, you will enjoy a bright smile and ensure that your teeth whitening efforts are safe and sustainable for many years to come.
Maintaining Oral Hygiene
Maintaining excellent oral hygiene is fundamental for preventing gum problems during teeth whitening. Brushing your teeth at least twice a day with a soft-bristled toothbrush is essential to remove plaque and food particles that can irritate your gums. Flossing daily is also crucial to clean the areas between your teeth, where a toothbrush cannot reach, preventing the buildup of bacteria that leads to gum inflammation. Use an antiseptic mouthwash to reduce bacteria and freshen your breath. Choosing the right products, such as fluoride toothpaste and mouthwash, strengthens your enamel and helps maintain healthy gums. Regular professional dental cleanings also help remove plaque and tartar, contributing to overall oral health. Prioritizing good oral hygiene practices will not only enhance your teeth whitening results but will also help preserve the health and beauty of your gums and teeth.
Regular Dental Check-ups

Regular dental check-ups are essential to maintain healthy gums and a bright smile, especially if you’re undergoing teeth whitening. During these visits, your dentist will evaluate your oral health, check for any signs of gum disease, and provide professional cleaning. This helps remove plaque and tartar buildup, which can irritate your gums and cause inflammation. Your dentist can also identify any early signs of gum bleaching or sensitivity and recommend appropriate interventions. Regular check-ups provide the opportunity to discuss your teeth whitening process, ensuring you’re using the correct methods and products. They can also provide valuable tips and guidance to prevent potential issues, such as gum bleaching. Professional dental cleanings and regular check-ups are essential for maintaining long-term oral health, ensuring that your teeth whitening efforts are both safe and effective.
Conclusion
Teeth whitening can dramatically improve your smile, but it’s crucial to understand how to prevent potential side effects like gum bleaching. By following the prevention strategies discussed, such as choosing the right whitening method, applying products correctly, and protecting your gums during the process, you can enjoy the benefits of a brighter smile without compromising your oral health. Maintaining excellent oral hygiene and attending regular dental check-ups are also vital for long-term gum health and the success of your teeth whitening treatments. Remember that the goal is to achieve a beautiful smile safely, so it is always best to consult with your dentist before starting any teeth whitening process. They can provide personalized guidance and ensure your teeth whitening experience is both effective and gentle on your gums.
