Understanding Teeth Whitening in India
In the vibrant landscape of India, a bright, confident smile is often seen as a symbol of health and success. Teeth whitening has surged in popularity, with individuals seeking to enhance their appearance and boost their self-esteem. The quest for a sparkling smile has led to a boom in teeth whitening solutions, available both through professional dental services and convenient at-home options. This guide provides comprehensive insights into teeth whitening in India, from understanding the basics to choosing the best products and maintaining your dazzling smile.
What is Teeth Whitening?
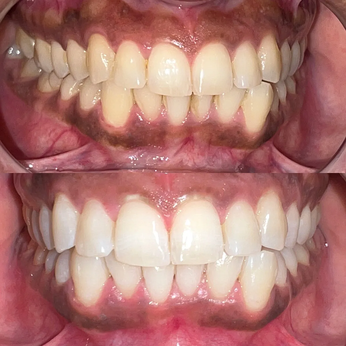
Teeth whitening, also known as teeth bleaching, is a cosmetic dental procedure designed to lighten the color of your teeth. It involves removing stains and discoloration from the enamel, the outer layer of your teeth. Over time, teeth can become stained due to various factors, including aging, consumption of staining foods and drinks (like coffee, tea, and red wine), smoking, and certain medications. Whitening treatments use bleaching agents, typically hydrogen peroxide or carbamide peroxide, to oxidize the stains and make your teeth appear whiter. The process can range from simple over-the-counter products to professional treatments performed by a dentist.
Types of Teeth Whitening Procedures

There are two main categories of teeth whitening procedures available in India professional and at-home treatments. Each offers unique advantages and considerations. Understanding the differences between these options is crucial for choosing the most suitable method to achieve your desired results. Whether you prefer the guidance of a dental professional or the convenience of home kits, there’s a teeth whitening solution tailored to your needs and preferences.
Professional Teeth Whitening
Professional teeth whitening, performed by a dentist, offers the most effective and quickest results. This method often involves a higher concentration of bleaching agents, applied under controlled conditions to ensure safety and minimize sensitivity. The procedure typically takes about an hour, and the results are immediate. Dentists may also use a special light or laser to activate the bleaching agent, accelerating the whitening process. While more expensive than at-home options, professional whitening is a reliable choice for achieving dramatic results and addressing stubborn stains. It is an excellent option for those seeking a significant improvement in the brightness of their teeth.
At-Home Teeth Whitening
At-home teeth whitening offers a convenient and more affordable alternative. These products come in various forms, including whitening strips, gels, toothpastes, and custom-fitted trays. Whitening strips are easy to use and can be purchased over the counter. Whitening gels are applied using custom or pre-fabricated trays, which are worn for a specified amount of time each day. Whitening toothpastes contain mild abrasives or chemicals to remove surface stains. While at-home methods may take longer to achieve the desired results than professional treatments, they can be effective for mild to moderate staining. It is important to follow the instructions carefully and consult with a dentist if you have any concerns.
How to Choose the Right Teeth Whitening Option

Choosing the right teeth whitening option depends on several factors. Consider the severity of your stains, your budget, and your desired results. If you have significant staining or are looking for immediate results, professional whitening may be the best choice. If you’re on a budget or prefer a more gradual approach, at-home products can be effective. Consult with a dentist to determine the best course of action. They can assess your oral health, discuss your goals, and recommend the most appropriate treatment. They can also advise on potential risks and help manage any sensitivity issues. It is important to weigh the pros and cons of each option and choose the one that best suits your individual needs and lifestyle. Before starting any whitening treatment, it’s also wise to ensure you have no underlying dental issues that could be exacerbated.
Finding the Best Teeth Whitening Products Online in India
With the increasing popularity of teeth whitening in India, numerous products are readily available online. This makes it easier than ever to find solutions tailored to your needs, but it’s equally important to choose products wisely. Careful consideration of ingredients, customer reviews, and brand reputation is vital to ensuring both effectiveness and safety. Exploring online options allows you to compare prices, read testimonials, and find products that fit your specific requirements. This section focuses on the key factors to consider when purchasing teeth whitening products online, including essential ingredients and the most highly recommended brands and products available in the Indian market.
Key Ingredients to Look For
The effectiveness of teeth whitening products largely depends on their active ingredients. The primary bleaching agents are hydrogen peroxide and carbamide peroxide. Hydrogen peroxide is a stronger oxidizing agent, often used in professional treatments. Carbamide peroxide breaks down into hydrogen peroxide, offering a slower but gentler whitening effect, common in at-home products. The concentration of these ingredients determines the potency of the whitening treatment. Other ingredients to look for include fluoride, which can help strengthen enamel and reduce sensitivity, and potassium nitrate, which also helps to reduce sensitivity. It is essential to carefully review the ingredient list and choose products that are clinically proven to be safe and effective for use.
Top-Rated Teeth Whitening Products Online

Several teeth whitening products have gained popularity among Indian consumers due to their effectiveness and convenience. Whitening strips are a popular choice, offering ease of use and noticeable results. Whitening gels used with custom trays or pre-fabricated trays are also highly regarded. Whitening toothpastes, while less potent, can help maintain the results of other treatments. Consider products from reputable brands known for their quality and safety. Always read customer reviews to gain insights into real-world experiences. Comparing different products based on their ingredients, price, and user feedback can help you make an informed decision. When choosing, remember to prioritize products that align with your personal needs and ensure that your selected product is suitable for your specific dental situation.
Where to Buy Teeth Whitening Products
Teeth whitening products are widely available online through various e-commerce platforms. Amazon India and Flipkart are major online marketplaces offering a wide selection of products from different brands. Many dental clinics and pharmacies also have online stores. Before purchasing, make sure to check the seller’s reputation, read product reviews, and compare prices. Be cautious of products sold by unverified sellers. It’s also wise to check for certifications and approvals from relevant regulatory bodies. Purchasing from reputable sources ensures that you receive genuine products and can seek customer support if needed. Consider the convenience and reliability of the online store, including shipping options, payment methods, and return policies, before making your purchase.
The Step-by-Step Guide to Teeth Whitening at Home
Whitening your teeth at home can be a straightforward process if done correctly. Following a step-by-step guide ensures effective and safe results. This section provides clear instructions on how to prepare your teeth, apply the whitening product, and maintain your bright smile. Always read and follow the product instructions carefully. Proper preparation, application, and aftercare are vital for achieving the desired results and avoiding any potential side effects. Following a set of clear instructions will help make your experience easier and more effective.
Preparing Your Teeth for Whitening

Before starting at-home teeth whitening, ensure your teeth and gums are healthy. Brush and floss thoroughly to remove any plaque or food particles. This allows the whitening agent to effectively reach the enamel. If you have any dental issues, such as cavities or gum disease, consult your dentist before starting treatment. They can address any underlying problems. If you have sensitive teeth, consider using a toothpaste designed for sensitive teeth a few weeks before starting the whitening process. This can help reduce any discomfort. Also, review the product instructions to understand how to use the product correctly.
Applying the Whitening Product
The application method depends on the product you choose. For whitening strips, apply them to your teeth, ensuring they cover the visible surface. For whitening gels, apply the gel to the provided trays and wear them according to the instructions. Whitening toothpastes should be used as part of your regular brushing routine. Follow the recommended duration and frequency for each product. Avoid over-application, as this can lead to increased sensitivity. Be careful to avoid contact with your gums, as this can cause irritation. If you experience any sensitivity or discomfort, discontinue use and consult your dentist.
Maintaining Your Sparkling Smile
Once you’ve achieved a brighter smile, it’s crucial to maintain the results. This involves a combination of dietary changes, good oral hygiene practices, and avoiding substances that can stain your teeth. Regular check-ups and cleanings with your dentist are also essential for keeping your teeth healthy and bright. By following these guidelines, you can enjoy your sparkling smile for an extended period and prevent your teeth from discoloration.
Dietary Recommendations

Certain foods and drinks can stain your teeth. Limit your consumption of staining substances like coffee, tea, red wine, and dark-colored berries. If you consume these items, rinse your mouth with water afterward. Consume foods that help clean your teeth, such as apples and carrots. Consider using a straw for beverages to reduce contact with your teeth. A balanced diet will not only promote oral health but also help keep your teeth whiter for longer.
Oral Hygiene Practices
Maintain a consistent oral hygiene routine. Brush your teeth twice a day with a fluoride toothpaste. Floss daily to remove plaque and food particles between your teeth. Consider using an oral irrigator or mouthwash to further clean your mouth. Regular dental check-ups and cleanings are essential. They help remove plaque and tartar, preventing staining and promoting overall oral health. Proper oral hygiene is vital for maintaining the results of your teeth whitening treatments.
Avoiding Stains
In addition to dietary changes and good oral hygiene, avoid habits that can stain your teeth. Smoking and chewing tobacco are major causes of tooth discoloration. If you smoke, consider quitting. Avoid excessive consumption of staining foods and drinks. If you consume these items, rinse your mouth with water immediately. Consider the use of teeth whitening toothpaste or mouthwash. Be aware of the impact of certain medications on your teeth, if applicable. If your teeth begin to stain, consider a touch-up whitening treatment or consult your dentist.
Teeth Whitening Online India

Teeth whitening online in India offers a convenient and accessible way to achieve a brighter smile. By understanding the different options available, from professional treatments to at-home products, individuals can make informed choices. This guide has provided insights into the types of procedures, choosing the right products, and maintaining your results. Embrace the journey to a sparkling smile by taking the time to understand your options and making the best choices for your teeth whitening needs. With the right information and care, you can enhance your confidence and achieve a radiant, beautiful smile.
