Understanding Teeth Whitening in Salisbury
Teeth whitening is a popular cosmetic dental procedure that aims to lighten the shade of your teeth and remove stains and discoloration. It is a non-invasive treatment that can significantly enhance your smile and boost your confidence. If you’re in Salisbury and considering teeth whitening, this guide will provide you with all the essential information to make an informed decision. Understanding the process, benefits, and options available will help you achieve a brighter, more radiant smile. Proper knowledge will help you find the right solution for you and your dental health.
What is Teeth Whitening
Teeth whitening involves the use of bleaching agents to break down stains and discoloration on the enamel of your teeth. These stains can be caused by various factors, including aging, genetics, and lifestyle choices such as consuming staining foods and drinks like coffee, tea, and red wine, as well as smoking. The process works by using either hydrogen peroxide or carbamide peroxide, which penetrate the enamel and break down the stain molecules, leading to a brighter, whiter smile. There are multiple methods to achieve this, from professional treatments to over-the-counter solutions.
Types of Teeth Whitening Treatments Available

In Salisbury, you have access to various teeth whitening treatments. These treatments can be broadly categorized into professional and over-the-counter options. Professional treatments, performed by a dentist, offer stronger bleaching agents and can provide more dramatic results. Over-the-counter options include whitening toothpastes, strips, and trays, which are generally less potent but can still offer some improvement. Understanding the differences between these treatments is essential for choosing the right one for your needs. Each method has its own benefits, risks, and suitability depending on the individual’s dental condition and desired outcome. For effective results, a dental professional is always recommended.
Professional Whitening vs. Over-the-Counter Options
Professional teeth whitening, often done in a dentist’s office in Salisbury, uses high-concentration bleaching agents and can provide faster and more significant results. A dentist can also assess your oral health and determine the best treatment plan for your specific needs. They can also address any underlying dental issues that might affect the whitening process. Over-the-counter options are typically more affordable and accessible, but they contain lower concentrations of bleaching agents, which means they may take longer to show results. It is important to consult with a dentist before undergoing any teeth whitening procedure to ensure it is safe and effective for your teeth. This will also help understand the potential risks and manage expectations.
Top 5 Amazing Benefits of Teeth Whitening in Salisbury
Boost Confidence and Self-Esteem

One of the most significant benefits of teeth whitening is the boost it gives to your confidence and self-esteem. A brighter, whiter smile can make you feel more attractive and self-assured, which can positively impact your personal and professional life. People who are happy with their smile tend to smile more, which can improve their mood and make them more approachable. This can lead to increased social interactions and a greater sense of well-being. Moreover, the psychological impact of having a beautiful smile can reduce anxiety and increase feelings of self-worth. This is why teeth whitening is so sought after.
Enhance Your Appearance and Smile
Teeth whitening significantly enhances your overall appearance. A bright, white smile is often associated with youth, health, and vitality. It can make you look more attractive and approachable, leaving a positive first impression on others. The contrast between white teeth and your skin tone can make your face appear brighter and more radiant. This cosmetic improvement can be a simple yet effective way to boost your aesthetic appeal. A whiter smile can also make you appear more polished and put-together, contributing to an overall sense of improved self-image and well-being. A beautiful smile is an important feature.
Reverse the Effects of Staining
Teeth whitening effectively reverses the effects of staining caused by various factors, such as aging, food, drinks, and smoking. Over time, your teeth can accumulate stains from these sources, leading to discoloration. Teeth whitening treatments remove these stains, restoring your teeth to their natural brightness. This can significantly improve the appearance of your smile and make you feel better about your teeth. By eliminating these stains, teeth whitening can bring back the vitality and youthfulness of your smile. This helps people have a healthier and more radiant smile. If you have discolored teeth, teeth whitening is a good solution.
Improve Oral Health

Teeth whitening, when performed by a professional in Salisbury, often includes a thorough examination of your oral health. This can help identify any underlying dental issues, such as cavities or gum disease, that need to be addressed. Regular dental checkups and teeth cleanings can also improve your overall oral health. This can lead to better results. A dentist will be able to give you the best advice on how to maintain your smile. By addressing these issues early, you can prevent more serious problems from developing in the future, ensuring your teeth are healthy and strong. This proactive approach is crucial for maintaining good oral hygiene.
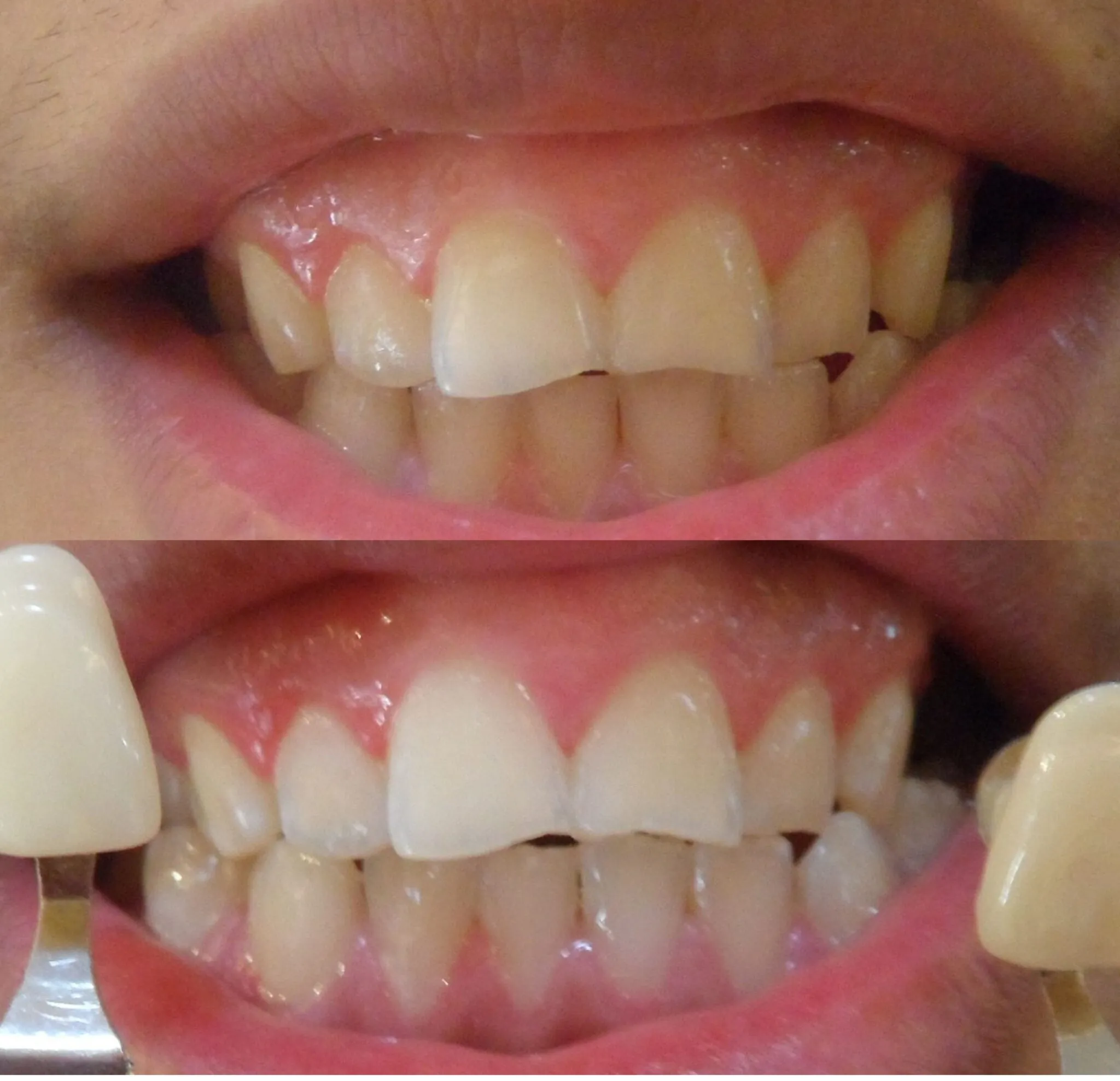
Quick and Effective Results
Teeth whitening treatments, especially professional ones, offer quick and effective results. In-office whitening can often lighten your teeth several shades in just one visit. While over-the-counter options may take longer, they still provide noticeable improvements over time. The speed at which you see results depends on the type of treatment, the severity of the staining, and your individual teeth. Many people in Salisbury appreciate the ability to achieve a brighter smile relatively quickly, boosting their confidence and improving their appearance without needing extensive dental work. Moreover, the quick turnaround time is an advantage for those who are looking for immediate improvements.
Who Can Benefit from Teeth Whitening in Salisbury
Candidates for Teeth Whitening

Most people with stained or discolored teeth are candidates for teeth whitening in Salisbury. This includes individuals with stains from coffee, tea, red wine, tobacco use, or aging. However, it’s essential to have a consultation with a dentist to ensure that teeth whitening is the right choice for you. Certain conditions, such as sensitive teeth, gum disease, or dental work like fillings or crowns, may affect the suitability of the treatment. A dentist will assess your oral health and recommend the best option based on your specific needs. They will also inform you about the expectations and potential risks involved.
Consultation with a Dentist in Salisbury
A consultation with a dentist in Salisbury is a crucial first step before undergoing teeth whitening. During the consultation, the dentist will examine your teeth and gums to assess your oral health. They will discuss your expectations, explain the different whitening options available, and determine the best treatment plan for you. This consultation allows the dentist to address any concerns you may have and to provide personalized recommendations. It also helps to ensure the safety and effectiveness of the procedure. Before you get teeth whitening, ensure you are consulting with a dental professional.
The Teeth Whitening Process in Salisbury
Initial Assessment and Consultation

The process begins with an initial assessment and consultation. The dentist will examine your teeth and gums, take photos, and discuss your desired results. This helps determine the appropriate treatment plan. If you are a good candidate, the dentist will explain the procedure in detail, including the benefits and any potential risks. They might also take impressions of your teeth to create custom trays for at-home whitening. This assessment ensures that the treatment is safe and effective for your specific needs, minimizing potential complications and maximizing results. The dentist will also make recommendations for aftercare and maintenance.
The Whitening Procedure
The whitening procedure itself varies depending on the method chosen. In-office whitening involves applying a strong bleaching agent to your teeth, which is then activated by a special light or laser. This process is repeated several times during the appointment. For at-home whitening, custom trays are filled with a bleaching gel and worn for a specified amount of time each day. The dentist will provide detailed instructions on how to use the trays and how long to wear them. They may also provide post-treatment advice to make sure that your teeth are healthy and that there are no negative side effects. This process can result in a much better smile.
Aftercare and Maintenance
Aftercare and maintenance are crucial to maintaining your bright smile. You should avoid foods and drinks that can stain your teeth, such as coffee, tea, red wine, and dark-colored berries, especially in the first few days after the treatment. Regular brushing and flossing are essential, and the dentist may recommend using a whitening toothpaste. They also may give you a take-home whitening kit to maintain your results. It is important to follow the dentist’s instructions and schedule regular dental checkups and cleanings to ensure your smile remains bright and healthy. Proper care can extend the life of your teeth and prevent further staining.
Maintaining Your Bright Smile

Tips for Prolonging Whitening Results
To prolong the results of your teeth whitening treatment, avoid or minimize the consumption of staining foods and drinks. Brush your teeth twice a day with a whitening toothpaste and floss daily. Consider using a straw when drinking staining beverages. You can also use at-home touch-up kits as recommended by your dentist. Regular dental checkups and cleanings will help maintain your bright smile and address any potential issues early on. By following these tips, you can enjoy a beautiful, radiant smile for a long time. Proper care and maintenance are essential for long-lasting results.
Regular Dental Checkups and Cleanings
Regular dental checkups and cleanings are essential for maintaining your oral health and the results of your teeth whitening treatment. During these visits, your dentist will examine your teeth for any issues, such as cavities or gum disease, and provide professional cleanings to remove plaque and tartar. They can also assess the effectiveness of your whitening treatment and make recommendations for any touch-up treatments. Regular checkups help prevent dental problems and keep your teeth healthy and bright. This proactive approach will help you maintain a beautiful smile and ensure your overall oral health.
