Choosing the right cosmetic dental procedure can be a daunting task. When it comes to enhancing your smile, two popular options often come to mind teeth whitening and veneers. Both treatments promise a brighter, more aesthetically pleasing smile, but they differ significantly in their approach, cost, and longevity. This comprehensive guide will delve into the specifics of teeth whitening versus veneers, helping you understand the pros and cons of each and ultimately determine which option aligns best with your dental needs and aesthetic goals.
Understanding Teeth Whitening and Veneers
What is Teeth Whitening?
Teeth whitening, also known as teeth bleaching, is a cosmetic dental procedure designed to lighten the shade of your teeth and remove stains and discoloration. It is a non-invasive procedure that typically involves the use of bleaching agents, such as hydrogen peroxide or carbamide peroxide, to break down stain molecules within the enamel. Teeth whitening is an excellent solution for surface-level stains caused by coffee, tea, tobacco, and certain foods. The procedure can be performed at a dentist’s office or at home, using custom-fitted trays or over-the-counter products.
Types of Teeth Whitening Procedures

There are several types of teeth whitening procedures available, catering to different needs and preferences. In-office whitening, performed by a dentist, offers immediate results. It involves the application of a high-concentration bleaching agent, often activated by a special light or laser. At-home whitening kits, prescribed by a dentist, provide a more gradual approach. These kits include custom-fitted trays and a lower-concentration bleaching gel. Over-the-counter whitening products, such as strips and toothpastes, are readily available but generally offer less dramatic results. The best choice depends on the severity of the staining, your budget, and your desired outcome.
Benefits of Teeth Whitening
Teeth whitening offers several advantages for those seeking a brighter smile. It is a relatively affordable cosmetic procedure, making it accessible to many individuals. Whitening is a non-invasive treatment, meaning it doesn’t require any alteration to the tooth structure. It can quickly and effectively remove surface stains and lighten the overall shade of the teeth, boosting your confidence and improving your appearance. Moreover, teeth whitening can be a convenient option, with at-home kits allowing you to whiten your teeth on your own schedule. The results can be quite noticeable, leading to a more youthful and vibrant smile.
Drawbacks of Teeth Whitening
Despite its benefits, teeth whitening has certain limitations. The results are not permanent, and maintenance is required to sustain the desired shade. Teeth whitening is most effective for extrinsic stains (surface stains) and may be less effective for intrinsic stains (stains within the tooth). Some individuals may experience tooth sensitivity or gum irritation during the whitening process. Whitening agents can also be less effective on certain types of stains, such as those caused by tetracycline antibiotics. Furthermore, teeth whitening doesn’t address structural issues like chips, cracks, or gaps.
What are Veneers?

Veneers are thin, custom-made shells typically crafted from porcelain or composite resin. They are bonded to the front surface of the teeth to improve their appearance. Veneers can address a variety of cosmetic issues, including discoloration, chips, cracks, gaps, and misalignment. The procedure involves preparing the teeth by removing a small amount of enamel to accommodate the veneers. Impressions are taken, and the veneers are fabricated in a dental laboratory. Once ready, the veneers are bonded to the teeth, creating a natural-looking and aesthetically pleasing smile.
Types of Veneers
There are primarily two types of veneers: porcelain and composite resin. Porcelain veneers are known for their durability, stain resistance, and natural appearance. They are custom-made in a lab and offer a high level of aesthetic customization. Composite resin veneers, also known as direct veneers, are applied directly to the teeth by the dentist. They are generally more affordable and can be completed in a single visit. However, they may be less durable and more prone to staining compared to porcelain veneers. The choice between the two depends on your budget, aesthetic goals, and the dentist’s recommendation.
Benefits of Veneers
Veneers offer a comprehensive solution for various cosmetic dental concerns. They can effectively correct discoloration, chips, cracks, gaps, and misalignment, resulting in a dramatically improved smile. Veneers are highly durable and stain-resistant, offering long-lasting results. Porcelain veneers, in particular, closely mimic the appearance of natural teeth, providing a beautiful and natural-looking smile. They can also improve your bite and provide additional support to the teeth. Veneers boost self-confidence and enhance the overall aesthetic appeal of your smile.
Drawbacks of Veneers

Veneers also come with some potential drawbacks. The procedure is irreversible, as a small amount of enamel must be removed to accommodate the veneers. Veneers are generally more expensive than teeth whitening. They may require multiple visits to the dentist. Porcelain veneers, in particular, are a more involved process, as they are custom-made. Veneers can be susceptible to damage, such as chipping or cracking, and may need to be replaced over time. Maintaining good oral hygiene is crucial to ensure the longevity of veneers, as they can be affected by gum disease or decay around the edges.
Teeth Whitening vs Veneers: Key Differences
Effectiveness for Stains and Discoloration
Teeth whitening is highly effective for surface stains caused by coffee, tea, tobacco, and certain foods. It works by breaking down stain molecules within the enamel, resulting in a lighter shade. Veneers, on the other hand, are effective for a broader range of discoloration, including intrinsic stains that teeth whitening may not address. Veneers cover the entire tooth surface, masking the discoloration and providing a flawless appearance. If you have stubborn stains, veneers might be the better option. If you are looking for a quick fix for minor surface stains, teeth whitening could suffice.
Impact on Tooth Structure

Teeth whitening is a non-invasive procedure that does not alter the tooth structure. It simply lightens the existing enamel. Veneers, conversely, require the removal of a small amount of enamel to accommodate the placement of the veneers. This makes the procedure irreversible. The amount of enamel removed varies, depending on the type of veneer and the specific case. It’s essential to discuss this aspect with your dentist to understand the implications for your long-term oral health. It is vital to choose an experienced dentist to ensure minimal enamel removal.
Cost Comparison
Teeth whitening is generally more affordable than veneers. The cost of teeth whitening varies, depending on the type of procedure (in-office, at-home, or over-the-counter) and the number of treatments. Veneers are a more significant investment, as they involve more complex procedures and require custom fabrication. The cost of veneers depends on the type of material (porcelain or composite resin) and the number of veneers needed. Consider your budget and the long-term value of each procedure when making your decision. Always inquire about the total cost, including any additional fees or maintenance costs.
Longevity and Maintenance
The results of teeth whitening are not permanent. The effects typically last from several months to a few years, depending on your diet, oral hygiene habits, and lifestyle. Regular touch-up treatments may be necessary to maintain the desired shade. Veneers, when properly cared for, can last for many years, often 10 to 15 years or more. However, veneers are susceptible to damage and may need to be replaced. Proper oral hygiene, including regular brushing, flossing, and dental check-ups, is crucial to extend the life of both teeth whitening results and veneers.
Who is the Ideal Candidate for Each Procedure?

Candidates for Teeth Whitening
Ideal candidates for teeth whitening are those with healthy teeth and gums who are seeking to improve the shade of their teeth. Good candidates typically have surface stains caused by coffee, tea, tobacco, or other dietary factors. Individuals with sensitive teeth or gum disease should consult with their dentist before undergoing teeth whitening. It’s also essential to manage your expectations; teeth whitening cannot address structural issues or significantly alter the shape of the teeth. Good candidates typically have a realistic understanding of the results and are committed to maintaining their brighter smile.
Candidates for Veneers
Veneers are a versatile option, suitable for a wider range of cosmetic concerns. Good candidates for veneers have teeth that are discolored, chipped, cracked, or slightly misaligned. Veneers can also address gaps between teeth. Candidates should have healthy teeth and gums, free from active decay or gum disease. Individuals considering veneers must be committed to maintaining good oral hygiene and attending regular dental check-ups. It is essential to have realistic expectations about the results, as veneers can significantly enhance your smile.
Making the Right Choice: Factors to Consider

Your Oral Health
Your oral health is paramount. Before undergoing any cosmetic dental procedure, your dentist will assess the health of your teeth and gums. If you have active decay, gum disease, or other underlying issues, these must be addressed before proceeding. Teeth whitening is generally safe for healthy teeth. However, if you have sensitive teeth, the bleaching agents may cause discomfort. Veneers require that your teeth are strong enough to support the veneers. Consult with your dentist to determine if your oral health is suitable for either procedure.
Your Budget
Consider your budget when deciding between teeth whitening and veneers. Teeth whitening is generally a more affordable option. In-office whitening tends to be more expensive than at-home kits or over-the-counter products. Veneers are a more significant investment. Porcelain veneers are typically more costly than composite resin veneers. When evaluating the cost, consider not only the initial expense but also the potential for maintenance, such as touch-up treatments for teeth whitening or the need for replacement veneers. Make sure to ask about all costs upfront.
Desired Aesthetic Outcome

What kind of smile are you hoping to achieve? Teeth whitening focuses on lightening the shade of your teeth, which can improve your smile. Veneers offer more comprehensive cosmetic enhancements, addressing a range of issues, including discoloration, chips, cracks, gaps, and misalignment. Think about the specific imperfections you want to address. If you want to simply brighten your smile, teeth whitening may suffice. If you have multiple cosmetic concerns or desire a complete smile makeover, veneers could be the best option. Discuss your desired aesthetic outcome with your dentist to determine the most appropriate treatment.
Consultation with a Dentist
A consultation with a dentist is the most crucial step in determining the right cosmetic procedure. Your dentist can assess your oral health, discuss your concerns and goals, and recommend the best treatment plan. They can also provide a realistic estimate of the expected outcomes and potential risks. This consultation ensures that you make an informed decision based on your individual needs and circumstances. It is essential that you are completely honest with your dentist about your medical and dental history. They can provide a clear and personalized advice.
What to Expect During a Consultation
During a dental consultation, your dentist will conduct a thorough examination of your teeth and gums. They will likely take X-rays to assess the health of your teeth roots and jawbone. The dentist will ask about your medical and dental history, including any medications you take and any previous dental work you’ve had. They will also inquire about your goals for improving your smile. The dentist will discuss the available treatment options, explaining the benefits, risks, and costs of each. They may also take impressions of your teeth to plan the procedures. Be prepared to answer questions about your lifestyle and oral hygiene habits.
Questions to Ask Your Dentist
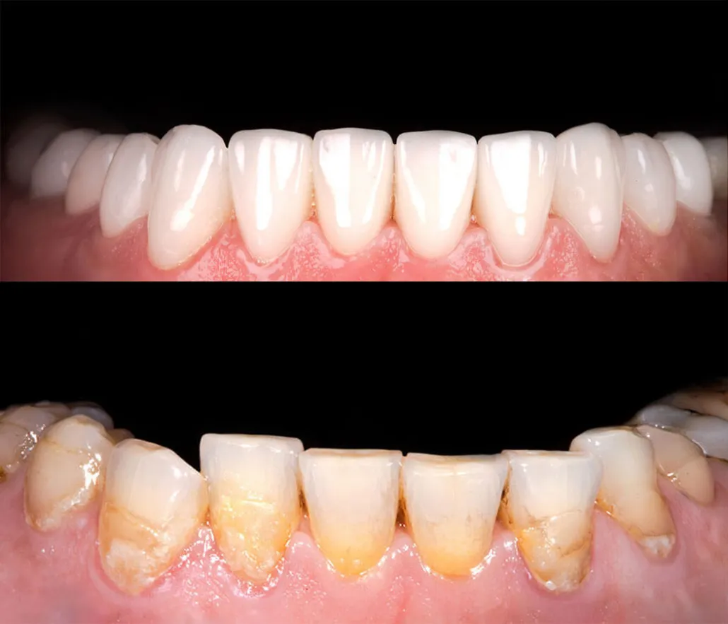
Prepare a list of questions to ask your dentist during your consultation. This will help you clarify any uncertainties and make an informed decision. Ask about the specific type of teeth whitening or veneers they recommend and why. Inquire about the potential risks and complications of each procedure. Ask how long the results are expected to last, and what maintenance is required. Get a clear understanding of the total cost, including any additional fees. Ask to see before-and-after photos of previous patients to get an idea of the results. The more information you have, the better equipped you will be to make the right choice.
In conclusion, both teeth whitening and veneers offer effective ways to enhance your smile. The best choice depends on your individual needs, budget, and aesthetic goals. Teeth whitening is an excellent option for removing surface stains and brightening your teeth. Veneers provide a more comprehensive solution, addressing a wider range of cosmetic concerns. By consulting with your dentist and carefully considering the factors discussed in this guide, you can make an informed decision and achieve the beautiful, confident smile you deserve.
