Understanding Teeth Whitening in Walnut Creek CA
Teeth whitening is a popular cosmetic dental procedure designed to lighten the shade of your teeth, improving your smile and boosting your confidence. In Walnut Creek, CA, a variety of teeth whitening options are available, catering to different needs and preferences. Whether you’re dealing with stains from coffee, tea, or simply the natural aging process, teeth whitening can help restore your teeth’s natural brilliance. This comprehensive guide will explore the various methods, benefits, and considerations involved in teeth whitening, helping you make an informed decision about achieving a brighter, more radiant smile.
What Causes Tooth Discoloration
Understanding the causes of tooth discoloration is crucial for choosing the right teeth whitening method. Several factors contribute to the darkening or staining of your teeth. These can be broadly categorized into intrinsic and extrinsic factors. Extrinsic stains affect the tooth’s surface, while intrinsic stains originate from within the tooth structure.
Food and Drinks

Certain foods and drinks are notorious for staining teeth. Coffee, tea, red wine, and dark-colored sodas contain pigments called chromogens that can adhere to the tooth enamel, causing discoloration. Regularly consuming these beverages can lead to a gradual darkening of your teeth. Additionally, highly acidic foods can erode the enamel, making it easier for stains to penetrate.
Lifestyle Choices
Smoking and tobacco use are major contributors to tooth discoloration. Nicotine and tar leave stubborn yellow and brown stains on the teeth. Poor oral hygiene, such as infrequent brushing and flossing, can also exacerbate staining, allowing plaque and tartar to accumulate, trapping stains, and causing discoloration. Lifestyle choices have a significant impact on the overall health and appearance of your teeth.
Aging
As we age, the enamel on our teeth thins, revealing the yellowish dentin underneath. This natural process, combined with accumulated stains over time, leads to darker teeth. Furthermore, the pulp of the tooth may shrink with age, causing the tooth to appear more translucent and discolored. Aging is a factor in tooth discoloration that often requires professional intervention for effective whitening.
Teeth Whitening Options in Walnut Creek CA

Walnut Creek, CA, offers a range of teeth whitening options, each with its own set of advantages and considerations. From in-office procedures to at-home kits, understanding the available choices is key to selecting the best method for your needs. This section will explore the various teeth whitening options, helping you to make an informed decision.
In-Office Teeth Whitening
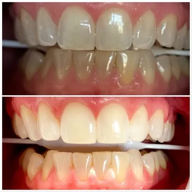
In-office teeth whitening, performed by a dental professional, is the most effective and fastest way to achieve a brighter smile. The process typically involves applying a high-concentration bleaching agent to the teeth, which is then activated using a special light or laser. This method can lighten teeth several shades in a single session, providing immediate and dramatic results. The procedure is safe when performed by a trained dentist and can address both surface stains and deeper discoloration. This is what in-office whitening looks like:
Benefits of In-Office Whitening
The primary benefit of in-office whitening is the speed and intensity of the results. It is significantly faster than at-home methods, making it ideal for those who want quick improvements. Another advantage is the supervision of a dental professional, ensuring the procedure is safe and minimizing the risk of gum irritation or sensitivity. Professional whitening is also more effective at removing stubborn stains. Image of dentist performing teeth whitening
At-Home Teeth Whitening Kits

At-home teeth whitening kits provide a convenient and more affordable alternative to in-office treatments. These kits typically contain custom-fitted trays that hold a bleaching gel, which you wear for a specified amount of time each day. The effectiveness of at-home kits varies depending on the concentration of the bleaching agent and the duration of use. Although results may take longer to achieve compared to in-office treatments, at-home kits can still deliver noticeable improvements in the shade of your teeth.
Types of At-Home Whitening Products
At-home whitening products come in various forms, including whitening strips, gels applied with a brush, and whitening toothpastes. Whitening strips are easy to use and adhere directly to the teeth, while gels are applied using custom or pre-formed trays. Whitening toothpastes contain mild abrasives and chemicals that can help remove surface stains. The choice of product depends on personal preferences and the severity of the discoloration. Image of different types of teeth whitening products.
Over-the-Counter Options
Over-the-counter (OTC) teeth whitening products are readily available at most drugstores and supermarkets. These products include whitening toothpastes, strips, and mouthwashes. OTC products typically contain lower concentrations of bleaching agents compared to professional treatments, resulting in milder effects. While they can help remove surface stains and slightly brighten your teeth, they may not be effective for more severe discoloration. It’s essential to follow the product instructions carefully and consult with a dentist if you have any concerns.
Professional vs. Over-the-Counter Which is Best

The best choice between professional and over-the-counter teeth whitening depends on your individual needs and goals. Professional whitening offers faster and more dramatic results, making it ideal for those seeking significant improvements. It is also the safest option, as it is performed under the supervision of a dentist. Over-the-counter products are more affordable and convenient, but they may not be as effective for deep stains. A dentist can assess your oral health and recommend the most appropriate option for your specific situation. You can use a chart showing the pros and cons of each type.
Factors to Consider
Before undergoing teeth whitening in Walnut Creek, CA, several factors should be taken into consideration to ensure the best possible outcome and avoid potential complications. Understanding these aspects will help you make an informed decision and achieve the desired results safely and effectively. This will also assist you in determining the suitable option for your specific needs.
Cost
The cost of teeth whitening varies depending on the chosen method. In-office whitening is generally more expensive than at-home treatments due to the professional services and high-concentration bleaching agents used. Over-the-counter products are the most affordable option. It’s essential to consider your budget when choosing a whitening method. However, the long-term benefits and the impact on your confidence should also be taken into account. You can also consult with your dentist to get a clearer understanding.
Effectiveness

The effectiveness of teeth whitening depends on the type of stain, the chosen method, and individual factors such as tooth enamel thickness. Professional treatments are generally more effective at removing both surface and deep stains. At-home kits can be effective for mild to moderate staining, while over-the-counter products may only remove surface stains. The expected outcome will depend on the initial state of your teeth and the specific product. An image of a person getting a teeth whitening procedure.
Maintenance Tips for a Brighter Smile
Maintaining a brighter smile after teeth whitening requires consistent oral hygiene and lifestyle adjustments. Following these maintenance tips will help you prolong the effects of your whitening treatment and keep your teeth looking their best. Remember that proper care can extend the results you’ve achieved through teeth whitening and will keep your smile radiant.
Oral Hygiene Routine
A consistent oral hygiene routine is essential for maintaining a bright smile. Brush your teeth at least twice a day with a whitening toothpaste to remove surface stains. Floss daily to remove plaque and food particles from between your teeth. Using a mouthwash can also help to remove bacteria and keep your breath fresh. Regular dental check-ups and cleanings are vital for removing tartar and preventing stains from accumulating. Daily brushing and flossing will help maintain a brighter smile.
Dietary Considerations

Your diet plays a significant role in maintaining the results of teeth whitening. Limit your consumption of staining foods and drinks, such as coffee, tea, red wine, and dark-colored sodas. If you consume these items, rinse your mouth with water afterward. Avoid tobacco products, as they are a major cause of tooth discoloration. Eating a diet rich in fruits and vegetables can also help to maintain your oral health. Eating a balanced diet can help your teeth stay white for a longer time.
Regular Dental Check-ups
Regular dental check-ups and cleanings are crucial for maintaining a bright and healthy smile. Your dentist can remove any accumulated stains and provide professional advice on oral hygiene. During check-ups, your dentist can also identify and address any potential dental issues that could affect your teeth’s appearance. Schedule regular dental appointments to keep your teeth clean and bright. Image of dentist performing teeth cleaning.
In conclusion, teeth whitening in Walnut Creek, CA, offers a variety of options to help you achieve a brighter, more confident smile. By understanding the causes of tooth discoloration, exploring the available whitening methods, considering the factors involved, and practicing consistent oral hygiene, you can make an informed decision and maintain a radiant smile for years to come. Consult with a dental professional to determine the best approach for your specific needs and enjoy the benefits of a dazzling smile. Remember that taking care of your teeth will pay off in the long run.
