The Essence of Teeth Whitening in Wien
Teeth whitening in Wien has become increasingly popular as people seek to enhance their smiles and boost their confidence. The Austrian capital offers a variety of options to achieve a brighter, more radiant smile, from professional in-office treatments to convenient at-home kits. Understanding the fundamentals of teeth whitening, including its benefits, procedures, and maintenance, can help you make informed decisions about your dental health. This guide provides essential facts about teeth whitening in Wien, helping you navigate the options and achieve the smile you’ve always desired. The appeal of a dazzling smile extends beyond aesthetics; it’s a reflection of overall health and vitality, making teeth whitening a worthwhile investment for many.
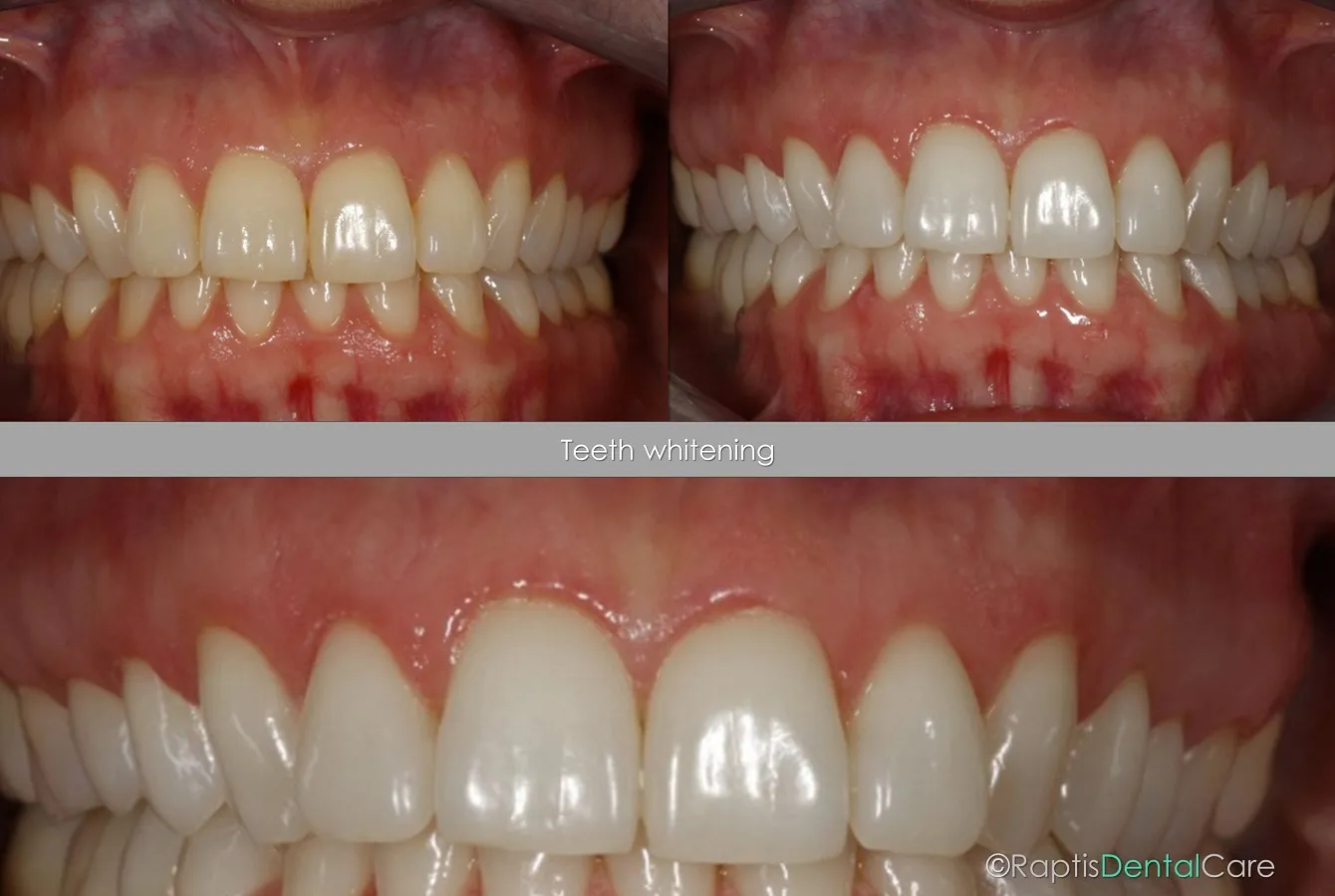
Fact 1 Why Choose Teeth Whitening in Wien
Choosing teeth whitening in Wien offers numerous advantages that extend beyond just a brighter smile. The city boasts a high standard of dental care, ensuring access to experienced professionals and advanced treatments. A significant benefit is the ability to instantly enhance your appearance, which can lead to increased self-esteem and confidence in both personal and professional settings. Wien’s providers offer tailored solutions, meaning you can choose a method that suits your specific needs and budget. The city also provides a convenient environment with numerous clinics and dental practices located throughout, making it easy to find and schedule appointments.
Cost Effectiveness

Compared to other cosmetic procedures, teeth whitening in Wien can be a cost-effective way to significantly improve your appearance. While costs vary depending on the treatment type, many options are available to fit different budgets. Professional treatments offer long-lasting results, potentially saving money in the long run compared to frequent use of over-the-counter products. Additionally, the boost in confidence and self-esteem often outweighs the financial investment, making it a worthwhile expenditure for many residents of Wien. Dental clinics often provide financing options or payment plans, making professional whitening even more accessible.
Professional Expertise
Wien’s dental clinics employ highly trained professionals who have the expertise to safely and effectively perform teeth whitening procedures. These experts can assess your oral health, identify any underlying issues, and recommend the most suitable treatment. They use professional-grade products and techniques that deliver superior results compared to at-home methods. The guidance provided by these professionals ensures you get the best possible outcome while minimizing potential risks, such as tooth sensitivity or gum irritation. The knowledge and experience of Viennese dentists also allow for personalized care tailored to your specific dental needs and goals.
Enhanced Confidence
A brighter smile can have a profound impact on your self-image and social interactions. Teeth whitening in Wien is a simple yet effective way to boost your confidence. This newfound confidence translates into more comfortable interactions, both personally and professionally. A brighter smile makes a positive first impression, helping you feel more at ease in social settings. Studies show that people with brighter smiles are often perceived as more attractive, successful, and approachable. The psychological benefits are considerable, allowing you to feel more empowered and self-assured in your daily life and the social events that Wien has to offer.
Fact 2 The Science Behind Whitening Treatments

Teeth whitening treatments work by using bleaching agents, typically hydrogen peroxide or carbamide peroxide, to break down stain molecules within the tooth enamel. These agents penetrate the enamel and dentin, dissolving the compounds that cause discoloration. The effectiveness of the treatment depends on the concentration of the bleaching agent and the duration of its application. Professional treatments use higher concentrations for faster results, while at-home kits have lower concentrations to ensure safety. Understanding this process is crucial for setting realistic expectations and choosing the most appropriate method for your needs. The specific reaction of the bleaching agent depends on the type of stain.
Types of Stains Addressed
Teeth whitening treatments effectively address various types of stains, including those caused by coffee, tea, red wine, and tobacco. Extrinsic stains, which affect the surface of the teeth, are generally easier to remove. Intrinsic stains, which occur within the tooth structure, may require more intensive treatments. Whitening treatments can also lighten discoloration caused by aging, certain medications, and genetics. However, the effectiveness can vary depending on the severity and nature of the stains. Consulting a dentist in Wien can help you determine which stains are treatable and the best approach for your specific situation. Different treatments are designed to target specific types of discoloration, providing a customized solution.
How Whitening Agents Work
Whitening agents work by oxidizing the stain molecules, breaking them down into smaller, less visible components. Hydrogen peroxide is the most common active ingredient, and its concentration determines the speed and intensity of the whitening. Carbamide peroxide is another commonly used agent, which breaks down into hydrogen peroxide. The bleaching process does not damage the tooth structure itself, but it can cause temporary sensitivity in some individuals. The duration of the treatment varies depending on the method used, with in-office treatments being significantly faster than at-home kits. Professional dentists carefully monitor the process to ensure both effectiveness and safety, providing a customized treatment plan.
Fact 3 Available Teeth Whitening Options in Wien

Wien offers a comprehensive range of teeth whitening options to cater to various needs and preferences. These include professional in-office treatments, convenient at-home whitening kits, and over-the-counter products. Each option has its advantages and disadvantages, so it is essential to consider your dental health, budget, and desired results when making your choice. Consulting with a dentist will help you understand the best option for your unique needs and goals. The availability of multiple choices ensures that you can find a solution that aligns with your lifestyle and preferences. The right choice can greatly enhance your smile and boost your overall confidence.
In-Office Whitening
In-office teeth whitening, performed by a dental professional in Wien, provides the most effective and immediate results. This procedure typically involves applying a high-concentration bleaching agent to the teeth, often activated by a special light or laser. The entire process usually takes about an hour, and it can significantly whiten teeth in a single session. This is ideal for individuals seeking rapid results for special occasions. Professional supervision ensures both safety and effectiveness, as dentists monitor the process and address any sensitivity issues. The results are often long-lasting, and the treatment includes custom-fitted trays to maintain results. In-office whitening offers a personalized experience, resulting in a brighter smile.
At-Home Whitening Kits
At-home whitening kits provide a convenient and cost-effective alternative for teeth whitening in Wien. These kits typically include custom-fitted trays and a lower-concentration bleaching gel, allowing you to whiten your teeth at your convenience. Your dentist can provide you with customized trays ensuring a perfect fit and reducing the risk of gum irritation. At-home whitening requires more time to achieve results compared to in-office treatments, usually over several weeks. Following your dentist’s instructions is important for safety and effectiveness. At-home kits allow you to whiten your teeth comfortably and gradually. Regular use, as prescribed, delivers noticeable improvements, enhancing your smile and overall confidence.
Over-the-Counter Products

Over-the-counter (OTC) teeth whitening products are readily available in pharmacies and supermarkets throughout Wien. These include whitening strips, toothpastes, and gels, offering a budget-friendly option for those seeking a brighter smile. OTC products typically contain lower concentrations of bleaching agents, resulting in more gradual whitening. They are easy to use and require no professional supervision. However, the effectiveness of these products can vary. Whitening toothpastes primarily remove surface stains, and strips may not reach all areas of the teeth. It is important to read and follow the product instructions carefully and to be aware of any potential side effects. Consulting with your dentist can help you find effective OTC products.
Fact 4 Maintaining Your Bright Smile
Maintaining your bright smile after teeth whitening is crucial for long-term results. This involves adopting specific habits and practices to prevent staining and discoloration. Regular dental check-ups and professional cleanings are essential for removing surface stains and monitoring your oral health. Following a proper aftercare routine ensures that your investment in teeth whitening provides lasting benefits. Being mindful of what you eat and drink is key. Avoiding or limiting stain-causing foods and drinks like coffee, tea, red wine, and dark-colored sauces is recommended. Proper maintenance ensures that your smile remains radiant and confident.
Post-Whitening Care
Following your dentist’s post-whitening instructions is crucial for maintaining your results. This typically involves avoiding certain foods and drinks for a specific period, such as those that are highly pigmented. Brushing and flossing regularly are essential for removing plaque and preventing stains. Using a whitening toothpaste can help maintain the brightness of your teeth. Regular dental check-ups, including professional cleanings, are recommended to remove surface stains. These appointments also allow your dentist to monitor your overall oral health. Proper post-whitening care ensures the longevity of your results and allows you to maintain a confident, radiant smile. Using a soft-bristled toothbrush can help minimize abrasion to the enamel.
Dietary Considerations

Diet plays a significant role in the longevity of your teeth whitening results. Certain foods and beverages can stain your teeth and should be consumed in moderation. Coffee, tea, red wine, and dark-colored sauces are notorious for causing discoloration. It is recommended to limit your intake of these items, especially in the first few days after whitening. Smoking can also stain your teeth and should be avoided. Drinking water after consuming stain-causing foods and beverages can help rinse away particles and reduce staining. Following a balanced diet with plenty of fruits and vegetables can also promote oral health. Being mindful of your dietary choices can help you maintain a bright and beautiful smile.
Regular Dental Check-ups
Regular dental check-ups are essential for maintaining your oral health and the results of your teeth whitening. These check-ups include professional cleanings, which remove plaque and surface stains that can dull your smile. Your dentist can also assess your teeth for any underlying issues, such as cavities or gum disease, which can affect the longevity of your whitening. During these appointments, your dentist may recommend touch-up treatments to maintain your desired level of brightness. Regular check-ups also provide an opportunity to discuss any concerns you may have about your teeth. Routine care from your dentist ensures you maintain a healthy, bright smile.
Fact 5 Wien’s Top Teeth Whitening Providers
Choosing the right teeth whitening provider in Wien is crucial for achieving the best results and ensuring a safe experience. Researching and selecting a reputable dentist is essential. Wien offers a range of experienced professionals with excellent credentials and a commitment to patient care. Considering factors such as experience, qualifications, and patient reviews will help you find a provider who meets your needs. It is important to compare treatment costs and understand the options available to make an informed decision. Ensuring you receive high-quality care from a trusted provider is the best way to achieve a brighter, more confident smile. Seeking referrals and recommendations can provide valuable insights.
Finding a Reputable Dentist

Finding a reputable dentist in Wien involves researching their qualifications, experience, and patient reviews. Look for dentists who specialize in cosmetic dentistry and have a proven track record of successful teeth whitening procedures. Check the dentist’s credentials and ensure they are licensed to practice in Austria. Reading online reviews and testimonials can give you valuable insights into the experiences of other patients. Consider the dentist’s communication style and their approach to patient care. Schedule a consultation to discuss your goals and assess their recommendations. Choosing a dentist with a positive reputation ensures a safe and effective teeth whitening experience.
Checking Credentials and Reviews
Verifying the credentials and reading reviews is a crucial step in selecting a teeth whitening provider in Wien. Check for qualifications such as a degree in dentistry and any specializations in cosmetic dentistry. Look for memberships in professional organizations, indicating a commitment to ongoing education and best practices. Patient reviews provide valuable insights into the quality of care, the dentist’s professionalism, and the overall patient experience. Websites like Google Reviews and Yelp offer valuable information. Pay attention to both positive and negative feedback to get a balanced view. Choosing a provider with positive credentials and reviews offers a more reliable experience.
Comparing Treatment Costs
Comparing the treatment costs among different providers in Wien is essential to ensure you receive value for your money. Inquire about the total cost of the procedure, including any additional fees for consultations or follow-up appointments. Discuss the payment options and any financing plans that might be available. Consider the different treatment options offered by each provider and the associated costs. While cost should be a factor, it should not be the only one. Focus on finding a balance between affordability and quality of care. Comparing costs helps you make an informed decision that fits your budget while still meeting your aesthetic goals. Discussing all financial aspects upfront avoids unexpected expenses.
