A bright, white smile is a powerful asset, boosting confidence and making a lasting impression. In Utah, the desire for a dazzling smile is as prevalent as anywhere else, leading to a surge in the popularity of teeth whitening treatments. This comprehensive guide delves into the world of Utah teeth whitening, providing you with all the information you need to achieve a brighter, more confident smile. We’ll explore various methods, from professional procedures to over-the-counter solutions, and address everything from the causes of tooth discoloration to the best ways to maintain your pearly whites. Whether you’re considering teeth whitening for a special event or simply to enhance your overall appearance, this guide will equip you with the knowledge to make informed decisions and achieve the smile you’ve always dreamed of. Get ready to embark on a journey to a more radiant and confident you.
Understanding Utah Teeth Whitening
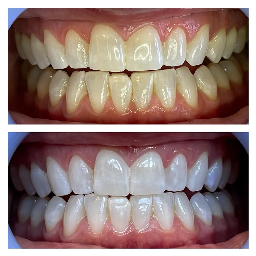
Teeth whitening, or bleaching, is a cosmetic dental procedure aimed at lightening the color of your teeth. It’s a popular choice for those seeking to improve the aesthetics of their smile. The process involves removing stains and discoloration, ultimately resulting in a brighter and more youthful appearance. Many factors can contribute to tooth discoloration, including lifestyle choices, genetics, and the natural aging process. Teeth whitening is a versatile solution suitable for addressing a wide range of staining issues. In Utah, a state known for its emphasis on personal well-being and aesthetic appeal, teeth whitening services are readily available. From professional dental offices to convenient over-the-counter options, residents of Utah have numerous avenues to explore in pursuit of a brighter, more appealing smile. This section clarifies the fundamentals of teeth whitening, paving the way for understanding the different approaches available.
What Causes Tooth Discoloration?
Understanding the causes of tooth discoloration is the first step toward effective whitening. Tooth discoloration can stem from various sources, often intertwined. The most common culprits include dietary habits, such as consuming staining foods and beverages like coffee, tea, red wine, and berries. Tobacco use, whether smoking or chewing, is another significant contributor. Furthermore, the natural aging process can lead to enamel thinning, revealing the yellowish dentin underneath. Certain medications, especially antibiotics like tetracycline, can also cause discoloration, particularly in developing teeth. In Utah, where outdoor activities are a common part of life, exposure to the sun and elements can also play a role. Recognizing the underlying causes helps determine the most suitable teeth whitening method and allows for preventive measures to maintain a bright smile. Many individuals will seek guidance on how to best address the source of discoloration through improved habits.
Surface Stains vs. Intrinsic Stains

Tooth stains are broadly categorized into two main types surface stains and intrinsic stains. Surface stains, also known as extrinsic stains, are those that affect the outer surface of the tooth enamel. These are typically caused by dietary habits and lifestyle choices. They are often easier to remove with over-the-counter whitening products or professional cleaning. Intrinsic stains, on the other hand, originate from within the tooth structure itself. These can result from factors like aging, medications, trauma, or excessive fluoride exposure during tooth development. Because intrinsic stains reside deeper within the tooth, they often require more intensive whitening treatments to achieve noticeable results. In Utah, dental professionals are trained to distinguish between these types of stains and recommend the most effective whitening approach. The choice of method depends heavily on the nature of the stain and its location within the tooth structure.
Professional Teeth Whitening Options in Utah
When it comes to teeth whitening, professional treatments offer several advantages. These procedures are performed by trained dental professionals who possess the expertise and equipment to deliver safe and effective results. In Utah, various professional teeth whitening options are available, each tailored to different needs and preferences. These treatments often use higher concentrations of whitening agents than over-the-counter products, leading to quicker and more dramatic results. Moreover, dental professionals can assess your oral health and recommend the most appropriate whitening method based on your specific situation. They can also address any underlying dental issues that might affect the outcome of the whitening process. The professional options include in-office procedures and take-home kits provided by your dentist, both of which offer a superior level of care and supervision.
In-Office Whitening Procedures
In-office teeth whitening is a fast and effective way to achieve a significantly brighter smile. The process is typically completed in a single dental visit, making it ideal for those seeking immediate results. During the procedure, a dental professional will apply a high-concentration whitening gel to your teeth. This gel is often activated by a special light or laser, accelerating the whitening process. The dentist will carefully monitor your teeth throughout the treatment to ensure safety and optimal results. In Utah, in-office whitening is a popular choice for special occasions or anyone wanting a quick smile makeover. The entire process usually takes about an hour, and you’ll leave the dental office with a noticeably brighter smile. The immediate results are often a significant confidence booster, and the professional setting ensures that the procedure is done safely and effectively.
The Process of Professional Whitening

The professional teeth whitening process typically begins with a consultation and examination by your dentist. This allows them to assess your oral health, identify any potential issues, and determine if you’re a suitable candidate for whitening. During the procedure, your gums and soft tissues are carefully protected to prevent irritation from the whitening agent. A high-concentration bleaching gel is then applied to the surface of your teeth. This gel often contains hydrogen peroxide or carbamide peroxide. To enhance the whitening effect, a special light or laser may be used to activate the gel. The dentist will closely monitor the process, making adjustments as needed to achieve the desired results. After the treatment, you’ll receive instructions on how to care for your teeth and maintain your new, brighter smile. The entire process is meticulously managed by trained professionals to ensure both safety and effectiveness.
Take-Home Whitening Kits from Your Dentist
For those who prefer a more flexible approach, take-home whitening kits provided by your dentist offer a convenient solution. These kits include custom-fitted trays and a bleaching gel with a lower concentration than in-office treatments. Your dentist will take impressions of your teeth to create custom trays that fit perfectly. You’ll then apply the gel to the trays and wear them for a specific amount of time each day, as directed by your dentist. Take-home kits provide a gradual whitening effect over several weeks. This allows you to control the process and achieve your desired level of brightness at your own pace. Regular check-ups with your dentist are still essential to monitor progress and address any potential issues. In Utah, many dental practices offer these take-home kits, allowing patients to whiten their teeth comfortably at home while still under professional guidance. This method combines the convenience of home treatment with the assurance of professional oversight, making it a popular choice for many individuals seeking teeth whitening.
Custom-Fit Trays and Bleaching Gels
Custom-fit trays are a crucial component of take-home whitening kits. These trays are designed to fit your teeth perfectly, ensuring that the bleaching gel makes optimal contact with the tooth surfaces. The trays are created from impressions of your teeth taken by your dentist. This custom fit helps to minimize gum irritation and ensures that the whitening agent is applied evenly. The bleaching gels used in take-home kits typically contain a lower concentration of the active whitening ingredient, such as hydrogen peroxide or carbamide peroxide, compared to in-office treatments. Your dentist will prescribe the appropriate concentration based on your needs and the degree of staining. Following the dentist’s instructions on how long to wear the trays each day is critical to achieve the desired results. The custom-fit trays and prescribed bleaching gels work together to deliver a safe and effective teeth whitening experience at home.
Over-the-Counter Teeth Whitening Solutions in Utah

For those seeking a more budget-friendly or accessible option, over-the-counter (OTC) teeth whitening solutions are readily available in Utah. These products, including whitening toothpastes, mouthwashes, and strips, can provide a degree of teeth whitening. They are generally less potent than professional treatments, and the results may not be as dramatic. OTC options are often a good starting point for mild staining or for maintaining the results of professional whitening. However, it’s essential to use these products as directed and to be aware of their limitations. While they can be effective for surface stains, they may not address deeper discoloration. The wide availability of these products makes them a convenient option for those who want to brighten their smile without a dental visit. However, it’s still advisable to consult your dentist before using any OTC whitening product to ensure its suitability for your specific needs and oral health.
Whitening Toothpastes and Mouthwashes
Whitening toothpastes and mouthwashes are common OTC teeth whitening products. These products typically contain mild abrasives or chemical agents that help to remove surface stains. Whitening toothpastes are often used as part of your daily oral hygiene routine. They can effectively remove stains caused by coffee, tea, and other dietary habits. Whitening mouthwashes work similarly, reaching areas that toothbrushes may miss. While they can contribute to a brighter smile, it’s important to remember that they usually only target surface stains. The results may be subtle, and they may not be effective for deeper discoloration. Choosing a whitening toothpaste or mouthwash that is approved by the American Dental Association (ADA) can help ensure its safety and effectiveness. Always follow the product instructions carefully, and consult your dentist if you have any concerns.
Whitening Strips and Their Effectiveness
Whitening strips are another popular OTC teeth whitening option. These thin, flexible strips are coated with a whitening gel and are applied directly to the teeth. They are convenient and easy to use, making them a popular choice for many individuals. The active ingredient in whitening strips is typically hydrogen peroxide. When used as directed, whitening strips can effectively lighten the color of your teeth, especially for surface stains. The effectiveness of whitening strips varies depending on the concentration of the whitening agent and the duration of use. Generally, they are less potent than professional treatments, so the results may be more gradual. For optimal results, it’s important to follow the manufacturer’s instructions carefully. Be sure to apply the strips correctly and wear them for the recommended time. Be aware of potential side effects, such as temporary tooth sensitivity or gum irritation. Consult your dentist if you experience any adverse reactions.
How to Choose the Right Whitening Method for You

Selecting the right teeth whitening method depends on several factors, including your desired results, budget, and oral health. If you’re looking for dramatic, immediate results, professional in-office whitening may be the best option. If you prefer a more gradual approach and want to whiten your teeth at home, take-home whitening kits from your dentist or over-the-counter strips may be a better fit. Consider the severity of your tooth discoloration. For mild surface stains, OTC products may suffice, while deeper stains may require professional treatment. Your dentist can assess your teeth and recommend the most appropriate method. Budget also plays a significant role in the decision-making process. Professional treatments are generally more expensive than OTC products. Assess your overall oral health. If you have any existing dental issues, such as cavities or gum disease, your dentist will need to address them before you undergo any whitening treatment. By carefully considering these factors, you can choose the teeth whitening method that best suits your needs and helps you achieve a brighter, more confident smile. Consulting with a dental professional is always recommended to make an informed decision.
Factors to Consider Before Whitening
Before you embark on teeth whitening, it’s important to consider several factors. First, your overall oral health is paramount. Any underlying dental issues, such as cavities or gum disease, should be treated before you start whitening. Whitening agents can irritate sensitive teeth, so if you have existing sensitivity, discuss this with your dentist. Realistic expectations are also crucial. The results of teeth whitening vary from person to person. While most people experience a significant improvement, the degree of whitening may differ. Discuss your desired outcome with your dentist to set realistic expectations. Be prepared for potential side effects, such as temporary tooth sensitivity or gum irritation. These are usually mild and temporary, but it’s essential to be aware of them. Lifestyle habits, such as smoking or consuming staining foods and drinks, can impact the longevity of your results. Be prepared to modify these habits or consider post-whitening maintenance to keep your smile bright. Evaluating these factors allows you to prepare for the process and make informed choices, ultimately leading to a satisfying teeth whitening experience.
The Importance of a Dental Exam
A comprehensive dental exam is a crucial first step before undergoing any teeth whitening treatment. Your dentist can assess your overall oral health, identifying any existing dental issues that need attention. This includes checking for cavities, gum disease, and other conditions that could impact the effectiveness or safety of the whitening process. During the exam, the dentist will evaluate the color and condition of your teeth. They can determine the type and extent of your staining, which helps them recommend the most appropriate whitening method. Your dentist can also assess your gums and soft tissues, looking for any signs of irritation or inflammation. This is essential, as the whitening agents can sometimes cause sensitivity or irritation. The dental exam provides an opportunity to discuss your goals and expectations. Your dentist will discuss the potential results of teeth whitening based on your specific situation. It allows the dentist to explain the different whitening options, discuss the risks and benefits, and answer any questions you may have. Prioritizing a dental exam ensures that the teeth whitening process is safe, effective, and tailored to your unique needs.
Managing Expectations for Results

Managing expectations is essential for a successful teeth whitening experience. While teeth whitening can significantly improve the appearance of your smile, it’s important to have realistic goals. The results of whitening vary depending on the individual’s teeth, the type of staining, and the whitening method used. The degree of whitening you achieve may not always be as dramatic as you envision. Some people may experience more significant results than others. It’s also important to understand that teeth whitening only works on natural teeth. Dental restorations, such as fillings, crowns, and veneers, will not change color. Before beginning any whitening treatment, have a thorough discussion with your dentist to understand the potential results based on your unique situation. Your dentist can explain what you can realistically expect and help you set achievable goals. Be prepared to maintain your results with proper oral hygiene and, if necessary, touch-up treatments. Maintaining realistic expectations prevents disappointment and allows you to appreciate the positive changes in your smile. Remember that teeth whitening is a process, and patience is important.
Post-Whitening Care and Maintenance
Maintaining your bright, white smile requires proper post-whitening care. This includes following the instructions provided by your dentist and adopting certain lifestyle habits. Immediately after whitening, your teeth may be more susceptible to staining. For the first few days, avoid foods and drinks that can stain your teeth, such as coffee, tea, red wine, and berries. Practice excellent oral hygiene by brushing your teeth at least twice a day with a non-abrasive toothpaste and flossing daily. Consider using a fluoride mouthwash to strengthen your enamel and protect against cavities. Regular dental check-ups and cleanings are essential to maintain your results and address any potential issues. Your dentist may recommend touch-up treatments periodically to keep your smile looking its best. Following these guidelines helps you maximize the longevity of your teeth whitening results and enjoy a confident, radiant smile for years to come.
Maintaining Your Bright Smile
Maintaining your bright smile requires a proactive approach. Adopt a consistent oral hygiene routine. Brush your teeth with a soft-bristled brush at least twice a day. Floss daily to remove plaque and debris from between your teeth. Consider using a whitening toothpaste to help maintain the results, but choose one that is not overly abrasive. Limit your intake of staining foods and beverages. Coffee, tea, red wine, and dark-colored berries are major culprits. If you consume these items, rinse your mouth with water afterward or brush your teeth shortly after. Quit smoking or avoid tobacco products. Tobacco use is a major contributor to tooth discoloration. Schedule regular dental check-ups and cleanings. Your dentist can monitor your oral health and provide professional cleaning to remove surface stains. Consider touch-up whitening treatments as needed. Your dentist can advise on the best schedule for maintaining your bright smile. Protecting your teeth from injury is essential. Wear a mouthguard if you participate in contact sports. By following these maintenance tips, you can enjoy your beautiful, white smile for a long time and feel confident in Utah.
Dietary Recommendations to Avoid Staining

Your diet plays a significant role in maintaining your teeth whitening results. Certain foods and beverages are known to stain teeth, so limiting your intake is crucial. Coffee, tea, and red wine are notorious for causing discoloration. If you can’t completely avoid these drinks, try to consume them in moderation and rinse your mouth with water afterward. Dark-colored berries, such as blueberries and blackberries, also contain pigments that can stain teeth. Consume these fruits in moderation, and brush your teeth after eating them. Avoid highly acidic foods, as they can erode tooth enamel, making your teeth more susceptible to staining. This includes citrus fruits, vinegar, and carbonated beverages. Choose foods that are less likely to stain, such as white-fleshed fruits and vegetables, dairy products, and lean proteins. Drink plenty of water throughout the day to keep your mouth clean and help rinse away any staining particles. Consider using a straw for beverages that can stain your teeth, such as soda and juice. Following these dietary recommendations can significantly help you maintain your bright, white smile and prevent future staining.
Potential Risks and Side Effects
While teeth whitening is generally considered safe, it’s essential to be aware of potential risks and side effects. The most common side effect is tooth sensitivity. This temporary discomfort can occur during and after the whitening treatment. It’s usually mild and resolves within a few days. Gum irritation is another potential side effect. The whitening agents can sometimes irritate the gums, causing them to become inflamed or tender. This is often due to the whitening agent coming into contact with the gums. In rare cases, more severe side effects can occur. These may include chemical burns from contact with the whitening agent. Be sure to follow the instructions provided by your dentist carefully to minimize these risks. Individuals with existing dental issues should be particularly cautious. Teeth whitening is not recommended for pregnant or breastfeeding women. If you experience any severe side effects, contact your dentist immediately. Understanding these potential risks allows you to make informed decisions and take appropriate precautions to ensure a safe and positive teeth whitening experience.
Sensitivity and Gum Irritation
Tooth sensitivity and gum irritation are common side effects of teeth whitening. Tooth sensitivity occurs when the whitening agents penetrate the enamel and reach the nerves within the teeth. This can cause a sharp, shooting pain or discomfort, especially when consuming hot or cold foods and beverages. Gum irritation can result from the whitening agent coming into contact with the gums. This can lead to redness, inflammation, and tenderness. To minimize these side effects, follow your dentist’s instructions carefully. Use a desensitizing toothpaste before, during, and after whitening. This can help reduce tooth sensitivity. Apply the whitening agent as directed, avoiding contact with your gums. If you experience gum irritation, discontinue the whitening treatment and consult your dentist. Your dentist may recommend a different approach or a lower concentration of the whitening agent. In most cases, tooth sensitivity and gum irritation are temporary and resolve on their own. However, it is essential to be aware of these potential side effects and take appropriate measures to manage them.
Long-Term Effects and Solutions
The long-term effects of teeth whitening depend on several factors, including the whitening method used, your oral hygiene habits, and your diet. The results of professional teeth whitening treatments can last for several months or even years. Over-the-counter products may provide shorter-lasting results. To maintain your results, practice excellent oral hygiene, brush and floss regularly, and limit your intake of staining foods and beverages. Regular dental check-ups and cleanings can help maintain your bright smile. You may need occasional touch-up treatments to maintain the desired level of whiteness. The color of your teeth will naturally change over time due to aging and other factors. However, with proper care, you can extend the longevity of your teeth whitening results. Consult with your dentist about the best approach to maintaining your bright smile. They can provide personalized recommendations based on your unique needs and lifestyle. By following these guidelines, you can enjoy a confident, radiant smile for years to come.
In conclusion, achieving a brighter smile through Utah teeth whitening is a realistic and achievable goal. By understanding the causes of tooth discoloration, exploring various whitening methods, and adhering to proper post-whitening care, you can confidently pursue a more radiant appearance. Whether you opt for professional treatments or over-the-counter solutions, remember to prioritize your oral health and consult with a dental professional for personalized guidance. With the right approach, you can unlock the potential of a dazzling smile and enhance your overall confidence. Take the first step towards a brighter future and enjoy the many benefits of a beautiful, white smile in Utah and beyond.
