5 Tips for Teeth Whitening in Valencia CA
Are you dreaming of a brighter, more confident smile? Teeth whitening is a popular cosmetic dentistry procedure that can significantly enhance your appearance. If you’re in Valencia CA and considering teeth whitening, you’re in the right place. This guide provides five essential tips to help you achieve the dazzling smile you desire. From choosing the right method to maintaining your results, we’ll cover everything you need to know to make an informed decision and achieve optimal results. Get ready to discover the secrets to a brighter, more confident you through effective teeth whitening in Valencia CA.
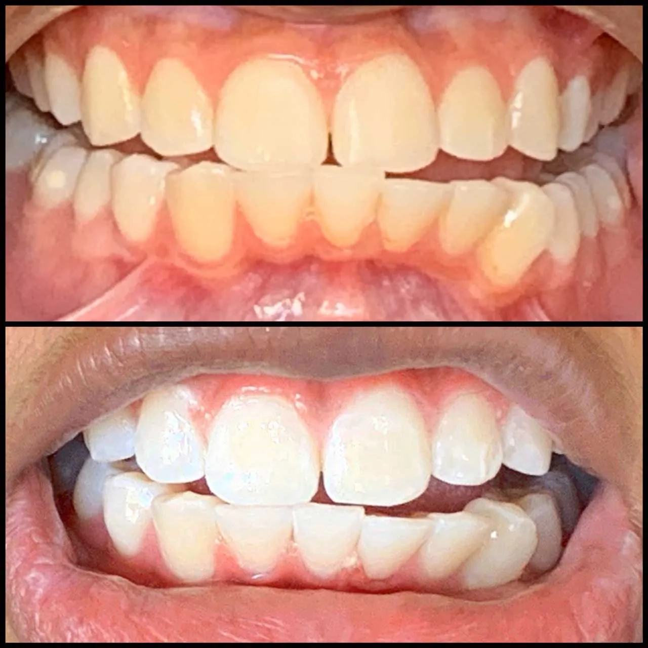
Choose the Right Teeth Whitening Method
The first step towards a brighter smile is choosing the teeth whitening method that best suits your needs and preferences. There are several options available, each with its own advantages and considerations. It is important to understand the different options to make an informed decision. Consider factors such as your budget, the severity of your discoloration, and the amount of time you are willing to dedicate to the process. Consulting with a dental professional can help you determine the most effective and appropriate option for your specific needs, ensuring the best possible results for your teeth whitening journey in Valencia CA.
Professional Whitening Options

Professional teeth whitening offers the most effective and dramatic results. In Valencia CA, your dentist can provide in-office whitening treatments that use stronger bleaching agents than at-home kits. These treatments are performed under controlled conditions, ensuring both safety and efficacy. Professional whitening typically involves applying a high-concentration peroxide gel to your teeth, which is then activated by a special light. This process can significantly lighten your teeth in a single visit. The results are immediate and can last for a considerable time, making it an excellent choice for those seeking rapid and noticeable improvement. Before choosing professional options, research the best dentists in Valencia CA and compare reviews.
At-Home Whitening Kits
For those seeking a more convenient and budget-friendly option, at-home whitening kits are a popular choice. These kits typically include custom-fitted trays and whitening gel, which you apply to your teeth for a specified amount of time each day. While at-home kits are less potent than professional treatments, they can still deliver noticeable results over a few weeks. It is essential to follow the instructions carefully and consult with your dentist before starting any at-home whitening treatment. This ensures that the product is safe for your teeth and that you achieve the desired outcome without causing any harm. The best at-home kits in Valencia CA often are recommended by dentists.
Consider Your Lifestyle
Your lifestyle plays a crucial role in the effectiveness and longevity of your teeth whitening results. Certain habits and dietary choices can significantly impact the brightness of your teeth. Understanding how these factors influence your smile is vital for maintaining the results of your teeth whitening treatment. By making informed choices and adopting healthy habits, you can extend the benefits of your procedure and enjoy a vibrant smile for longer. Consider how your daily routines and dietary habits affect your teeth and make adjustments accordingly to enhance and preserve your investment in teeth whitening in Valencia CA. Taking care of your smile is important for a confident you.
Dietary Habits and Stain Prevention

The foods and beverages you consume can have a significant impact on the color of your teeth. Certain items are notorious for staining, including coffee, tea, red wine, and dark-colored berries. These substances contain pigments that can adhere to the enamel of your teeth, leading to discoloration over time. Limiting your intake of these items and rinsing your mouth with water after consumption can help minimize staining. Brushing your teeth after meals and snacks can further reduce the buildup of stains. Be mindful of your dietary habits to protect your newly whitened smile. Consider the impact of food and drinks on your teeth whitening efforts in Valencia CA.
Avoiding Staining Substances
Beyond dietary choices, certain lifestyle habits can also contribute to teeth staining. Tobacco use is a major culprit, as nicotine and tar can significantly discolor teeth. Additionally, some medications can cause staining as a side effect. If you smoke or take medications known to affect tooth color, discuss potential solutions with your dentist. They can offer guidance on minimizing staining or recommend professional whitening treatments to counteract the effects. Avoiding staining substances and adopting preventive measures are crucial steps to maintain your bright, white smile. Consult your Valencia CA dentist for personalized advice on how to protect your teeth from stains.
Maintain Good Oral Hygiene
Proper oral hygiene is essential for maintaining the results of your teeth whitening treatment and ensuring overall dental health. Regular brushing, flossing, and dental checkups are critical components of a good oral hygiene routine. These practices remove plaque and bacteria, which can contribute to staining and other dental issues. By prioritizing your oral hygiene, you can extend the life of your whitened smile and enjoy a healthier, more confident you. Consistent care not only preserves your teeth whitening investment but also protects your teeth from future discoloration. Implementing these practices can significantly improve your experience with teeth whitening in Valencia CA.
Brushing and Flossing Regularly

Brushing your teeth twice a day and flossing once daily are fundamental to oral hygiene. Brushing removes food particles and plaque from your teeth and gums, preventing the buildup of stains. Flossing reaches areas that brushing can’t, removing debris and preventing gum disease. When brushing, use a soft-bristled toothbrush and fluoride toothpaste. Brush gently for at least two minutes, ensuring you reach all surfaces of your teeth. Floss carefully, making sure to clean between each tooth and along the gumline. These simple habits are very important for maintaining a healthy and bright smile, enhancing the benefits of your teeth whitening treatment in Valencia CA.
Regular Dental Checkups
Regular dental checkups are essential for maintaining optimal oral health and preserving the results of your teeth whitening treatment. During your checkup, your dentist will thoroughly examine your teeth and gums, looking for any signs of decay, gum disease, or other issues. They will also perform a professional cleaning to remove plaque and tartar buildup, which can contribute to staining. Your dentist can provide personalized advice on maintaining your oral hygiene routine and recommend any necessary treatments to keep your smile bright and healthy. Schedule checkups every six months to keep your teeth whitening efforts in Valencia CA in top condition.
Realistic Expectations
It is important to have realistic expectations about teeth whitening. While teeth whitening can significantly improve the brightness of your smile, it’s essential to understand its limitations. The results can vary depending on several factors, including the type and severity of your tooth discoloration and the method used. Consulting with your dentist can help you determine what results are achievable for your specific situation. Being well-informed will help you manage your expectations, ensuring satisfaction with the outcome. A realistic approach to teeth whitening can lead to a more positive and rewarding experience in Valencia CA.
Understanding Whitening Limitations

Teeth whitening is most effective on natural teeth. Fillings, crowns, and veneers will not whiten with the treatment. The degree of whitening also varies depending on the type and intensity of stains. Surface stains, caused by coffee or tea, usually respond well to whitening. Deeper stains, resulting from medications or aging, may be more resistant. Professional treatments often provide the most dramatic results, but even these may not achieve the perfect shade. Discussing your goals with your dentist allows you to understand what to expect from teeth whitening in Valencia CA. Knowing the limitations ensures that you are satisfied with the results.
Consulting with a Dentist
Consulting with a dentist is crucial before undergoing any teeth whitening treatment. Your dentist will assess your oral health, identify any underlying issues, and determine the most suitable whitening method. They can also advise you on potential risks and side effects. During the consultation, your dentist will examine your teeth and gums to ensure they are healthy enough for whitening. They will discuss your goals, explain the different options available, and create a personalized treatment plan. This consultation ensures the safety and effectiveness of the treatment, providing you with the best possible outcome. Schedule a consultation with a dentist in Valencia CA to achieve the results you want.
Find the Best Dentist in Valencia CA
Choosing the right dentist is essential for successful teeth whitening. Consider factors such as experience, qualifications, and patient reviews. Researching dentists in Valencia CA, and compare their services to find one that fits your needs. Ask questions and discuss your expectations during the initial consultation. The dentist should be able to answer your questions clearly and provide you with a detailed plan. Checking online reviews and seeking recommendations can give you insights into the dentist’s reputation and patient satisfaction. Finding the right dentist can improve your experience with teeth whitening and the quality of the results. Prioritize finding a reputable professional in Valencia CA to brighten your smile.
Research and Reviews

Before selecting a dentist for teeth whitening, conduct thorough research. Explore online reviews and testimonials from previous patients. These reviews can give you valuable insight into the dentist’s professionalism, the quality of their work, and patient satisfaction. Websites such as Yelp and Google Reviews offer a wealth of information. Look for dentists with positive feedback, a high rating, and a proven track record. Consider reading several reviews to get a balanced perspective and find a dentist that meets your needs. Make your research on dentists in Valencia CA a top priority to ensure a positive and successful teeth whitening experience.
What to Expect During Consultation
During your consultation, the dentist will assess your oral health and discuss your expectations. They will examine your teeth and gums, looking for any signs of dental issues. The dentist will also take X-rays, if necessary, to evaluate the underlying structures of your teeth. They will then discuss the different whitening options available, explaining the pros and cons of each. You should use this opportunity to ask questions and voice any concerns. The dentist will create a personalized treatment plan, outlining the steps involved and the expected results. By knowing what to expect during your consultation with a dentist in Valencia CA, you can make the best decision for your teeth whitening journey. Remember to communicate your goals clearly and ask questions to ensure a successful outcome.
In conclusion, teeth whitening in Valencia CA can be a transformative process, boosting your confidence and enhancing your smile. By following these five essential tips, you can make informed decisions, choose the right whitening method, maintain your results, and achieve a brighter smile. Remember to prioritize your oral health, consult with a qualified dentist, and manage your expectations. With the right approach, you can enjoy a beautiful, radiant smile for years to come. Take the first step today towards a brighter future by considering teeth whitening options in Valencia CA.
