Understanding Zoom Teeth Whitening
Zoom teeth whitening has become a popular cosmetic dentistry procedure for those seeking a brighter, more radiant smile. Unlike over-the-counter whitening products, Zoom whitening is a professional treatment administered by a dentist in their office. This in-office procedure offers significant advantages in terms of speed and effectiveness. The primary goal is to lighten the existing shade of your teeth, removing stains and discoloration caused by factors like coffee, tea, tobacco, and aging. The procedure utilizes a powerful bleaching agent, typically hydrogen peroxide, and an activating light to accelerate the whitening process. Patients often choose Zoom whitening for its ability to deliver noticeable results in a single appointment, making it a convenient option for those with busy schedules. The process involves a thorough examination and consultation with a dental professional to assess the patient’s oral health and suitability for the treatment.
How Does Zoom Teeth Whitening Work
The science behind Zoom teeth whitening is quite fascinating. The key ingredient is a high-concentration hydrogen peroxide gel, carefully applied to the surface of the teeth. The dentist then uses a specialized Zoom light, which emits a specific wavelength of blue light. This light acts as a catalyst, accelerating the breakdown of the hydrogen peroxide. As the hydrogen peroxide breaks down, oxygen molecules penetrate the enamel and dentin, the two layers of the tooth structure. These oxygen molecules then break down the stain-causing compounds, effectively lightening the teeth. The entire process is carefully monitored by the dentist to ensure the patient’s safety and comfort. The light itself does not whiten the teeth directly; it simply speeds up the chemical reaction of the bleaching agent. The results are often dramatic, with many patients experiencing a significant improvement in the brightness of their smile after just one session.
The Zoom Whitening Process

The Zoom teeth whitening process is designed to be efficient and relatively comfortable. The procedure typically begins with a professional cleaning to remove any plaque or debris from the teeth, allowing the whitening agent to work effectively. Next, a protective barrier is applied to the gums and lips to prevent any irritation from the bleaching agent. The dentist then applies the Zoom whitening gel to the teeth, ensuring even coverage. The Zoom light is positioned near the teeth, and the patient relaxes while the light activates the gel. The light exposure typically lasts for about 15 minutes, and the process may be repeated up to three or four times during the same appointment, depending on the desired level of whitening and the patient’s sensitivity. Throughout the procedure, the dentist monitors the patient’s comfort and checks for any signs of sensitivity. After the final application, the gel is removed, and the teeth are rinsed. The dentist may also apply a fluoride treatment to help reduce sensitivity and strengthen the enamel.
Preparing for Your Zoom Whitening Session
Proper preparation is key to maximizing the benefits of your Zoom teeth whitening session. Before your appointment, your dentist will conduct a thorough examination to assess your oral health. It’s important to address any existing dental issues, such as cavities or gum disease, before undergoing the whitening treatment. The dentist will also discuss your expectations and the potential results, ensuring you have a realistic understanding of the outcome. It’s often recommended to have a professional cleaning a few days before the Zoom whitening to remove surface stains and plaque. This helps the whitening agent penetrate the enamel more effectively. You should also inform your dentist about any dental work you’ve had, such as fillings or crowns, as these may not whiten at the same rate as your natural teeth. Avoiding foods and drinks that can stain your teeth, such as coffee, tea, and red wine, in the days leading up to the procedure can also help optimize your results. Discuss any potential sensitivity concerns with your dentist.
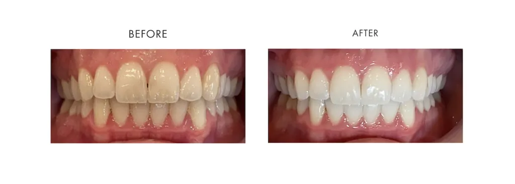
The Zoom Whitening Before and After
The most exciting part of Zoom teeth whitening is undoubtedly the dramatic before and after transformation. The results vary from person to person, depending on the initial shade of the teeth and the severity of the staining. However, most patients experience a significant improvement in the brightness of their smile. Before the procedure, the teeth may appear dull or discolored, with noticeable stains from various sources. After the Zoom whitening, the teeth can become several shades lighter, often achieving a brilliant, natural-looking white. These transformations are often documented with photographs, showcasing the remarkable impact of the treatment. Many patients are thrilled with their results and feel more confident about their smiles. The ‘before and after’ images demonstrate the effectiveness of Zoom whitening in removing stains and enhancing the overall appearance of the teeth.
What to Expect Immediately After Zoom Whitening

After your Zoom teeth whitening session, there are a few things you can expect. Increased tooth sensitivity is common, particularly in the first few days. This sensitivity is usually temporary and can be managed with over-the-counter pain relievers or sensitivity toothpaste. Your dentist may recommend specific products to help alleviate any discomfort. It’s also essential to follow a ‘white diet’ for the first 24 to 48 hours. This means avoiding foods and drinks that can stain your teeth, such as coffee, tea, red wine, dark-colored sodas, and berries. Sticking to a diet of white or light-colored foods, like chicken, rice, pasta, and dairy products, will help maintain your results. You should also avoid smoking or using tobacco products, as they can quickly stain your newly whitened teeth. Maintaining good oral hygiene, including brushing and flossing regularly, is crucial for long-lasting results. Your dentist may provide you with custom whitening trays for touch-ups at home to maintain the desired shade.
Factors Affecting Zoom Whitening Results
Several factors can influence the outcome of your Zoom teeth whitening treatment. The natural shade of your teeth plays a significant role; people with more yellowish teeth tend to achieve better results than those with grayish or bluish teeth. The type and severity of stains also affect the outcome. Surface stains caused by food and drinks are generally easier to remove than intrinsic stains, which are located within the tooth structure. The patient’s age and overall oral health are also important factors. Older patients may have more stubborn stains. Some dental work, such as fillings or crowns, may not whiten at the same rate as natural teeth, so discuss this with your dentist. Following post-treatment care instructions, including the white diet and good oral hygiene, is critical for maintaining your results. Lifestyle choices, like smoking or excessive consumption of staining foods and drinks, can also impact the longevity of your whiter smile. Regular dental check-ups and cleanings are essential.
Tips for Maintaining Your Bright Smile After Zoom
Maintaining the results of your Zoom teeth whitening requires a proactive approach. Practice excellent oral hygiene by brushing your teeth twice a day with a whitening toothpaste and flossing daily. Consider using a straw when drinking beverages that can stain your teeth, such as coffee, tea, and sodas. Avoid or limit your consumption of highly pigmented foods and drinks, like red wine, berries, and dark sauces. If you consume these items, rinse your mouth with water afterward to minimize staining. Regularly schedule professional dental cleanings and check-ups to remove surface stains and monitor your oral health. Your dentist may recommend touch-up treatments or custom whitening trays for home use to maintain your desired shade. Avoid smoking and tobacco products, as they can quickly stain your teeth and negatively impact your oral health. By following these tips, you can enjoy a bright, beautiful smile for years to come.
Other Teeth Whitening Options

While Zoom teeth whitening is a popular choice, several other teeth whitening options are available. Over-the-counter whitening products, such as whitening toothpaste, strips, and gels, offer a more affordable option. However, they may not be as effective as professional treatments. Professional teeth whitening options include custom-fit whitening trays provided by your dentist, which are used at home with a prescription-strength whitening gel. Another option is laser teeth whitening, which is similar to Zoom but uses a different type of light. The best option depends on your individual needs, preferences, and the severity of your staining. Consult with your dentist to determine the most suitable treatment for your smile. They can assess your oral health, discuss your goals, and recommend the most effective and safe whitening solution for you.
Is Zoom Teeth Whitening Right for You?
Determining whether Zoom teeth whitening is the right choice for you involves careful consideration. If you are looking for a fast, effective way to brighten your smile and are willing to invest in a professional treatment, Zoom whitening may be an excellent option. It is particularly beneficial for individuals with noticeable stains caused by coffee, tea, or tobacco. However, Zoom whitening is not suitable for everyone. People with sensitive teeth or gums may experience increased discomfort. It’s also not recommended for pregnant or breastfeeding women. The results of Zoom whitening are not permanent, and maintenance is required to preserve your brighter smile. Before making a decision, consult with your dentist to assess your oral health, discuss your expectations, and determine if Zoom whitening aligns with your goals. Your dentist can evaluate your suitability for the treatment and guide you toward the best path for achieving a radiant, confident smile. If you are a good candidate, the dramatic before and after results can be truly transformative.
