What is Zoom2 Whitening
Zoom2 Whitening is a popular and effective teeth whitening procedure offered by dentists to brighten and enhance smiles. It’s a professional in-office treatment designed to deliver quick and noticeable results. Unlike over-the-counter whitening products, Zoom2 utilizes a high-concentration bleaching agent and a special light to accelerate the whitening process. This combination helps to break down stains and discoloration on the teeth, resulting in a significantly whiter smile in a single appointment. The treatment is favored for its efficiency and the dramatic improvement it offers in a relatively short amount of time, making it a go-to choice for individuals seeking a rapid and effective cosmetic dental solution. Understanding its mechanisms and benefits is key to appreciating the power of Zoom2 Whitening.
The Science Behind Zoom2 Whitening
The science behind Zoom2 Whitening involves a chemical reaction that lightens the color of your teeth. The primary active ingredient in the whitening gel is typically hydrogen peroxide, a bleaching agent that penetrates the enamel and dentin of your teeth. When the Zoom2 light is applied, it activates the hydrogen peroxide, accelerating the breakdown of the stain-causing molecules. This process, known as oxidation, effectively removes stains and discoloration without damaging the tooth structure. The light used in the Zoom2 system emits a specific wavelength that enhances the bleaching action, ensuring maximum whitening results. This process is carefully controlled and monitored by a dental professional to ensure safety and efficacy. The controlled nature of the in-office treatment allows for stronger concentrations of the bleaching agent, leading to more dramatic and rapid results compared to at-home methods.
How Zoom2 Whitening Works

Zoom2 Whitening works through a multi-step process designed to safely and effectively whiten teeth. The process begins with the application of a high-concentration hydrogen peroxide gel to the teeth’s surface. This gel is carefully applied to avoid contact with the gums, which are then protected. Once the gel is in place, a specialized light is used to activate the whitening agent. This light emits a specific wavelength, enhancing the bleaching action and accelerating the stain removal process. The treatment typically involves several cycles, each lasting about 15 minutes. During each cycle, the gel is reapplied, and the light is used. This repetition ensures that all areas of the teeth are exposed to the whitening agent, resulting in a consistent and even whitening effect. The entire procedure is usually completed in a single dental visit, providing immediate and noticeable results.
Preparation for Zoom2 Whitening
Preparing for Zoom2 Whitening involves a few important steps to ensure the best possible outcome and minimize potential side effects. The dentist will first conduct a thorough examination of your teeth and gums to ensure you’re a suitable candidate for the procedure. Any existing dental issues, such as cavities or gum disease, should be addressed before starting the whitening process. It’s also essential to have your teeth professionally cleaned prior to the Zoom2 treatment to remove any plaque, tartar, or surface stains that could hinder the whitening process. During the preparation phase, the dentist will also discuss the expected results, potential risks, and aftercare instructions. This consultation helps set realistic expectations and ensures you are fully informed about the procedure. Avoiding certain foods and drinks that can stain teeth, such as coffee, tea, and red wine, in the days leading up to your appointment, can also help maximize the whitening effect.
The Zoom2 Whitening Procedure
The Zoom2 Whitening procedure is a carefully orchestrated process carried out in a dental office. It’s designed to be efficient and comfortable, providing visible results in a single visit. The treatment typically involves several key steps, starting with preparation and ending with aftercare instructions. Your dentist will ensure your comfort throughout the process and explain each step. Understanding the procedure beforehand can help ease any anxiety and give you a better idea of what to expect during your appointment.
Step 1 Examination and Cleaning

The first step in the Zoom2 Whitening procedure is a comprehensive examination and cleaning of your teeth. The dentist or dental hygienist will begin by assessing the overall health of your teeth and gums. This examination helps to identify any existing dental issues that need attention before whitening, such as cavities or gum disease. Any necessary treatments are usually performed prior to the Zoom2 procedure. Following the examination, a professional cleaning is conducted to remove plaque, tartar, and any surface stains from your teeth. This cleaning ensures the whitening gel can effectively penetrate the enamel and achieve optimal results. The cleaning step is essential for preparing the teeth for the whitening process, allowing the bleaching agent to work most efficiently.
Step 2 Application of Whitening Gel
After your teeth are cleaned and examined, the dentist will apply a protective barrier to your gums to prevent irritation from the whitening gel. Then, a high-concentration hydrogen peroxide gel is carefully applied to the surface of your teeth. The application is done with precision, ensuring that the gel covers the visible surfaces of the teeth to be whitened. The dentist typically uses a brush to spread the gel evenly across the teeth. The concentration of the gel used in the Zoom2 system is significantly higher than that found in over-the-counter products, contributing to its effectiveness. The application is usually done for all visible teeth to create a consistent, brighter smile. The gel is left on the teeth for a specific amount of time before the next step of activation.
Step 3 Activation with the Zoom2 Light
Once the whitening gel is applied, the Zoom2 light is used to activate it. The dentist will position the light close to your teeth, ensuring the entire surface is exposed. The light emits a specific wavelength that enhances the bleaching action of the hydrogen peroxide gel. This activation process accelerates the breakdown of stain-causing molecules within the enamel and dentin of your teeth. The light treatment usually lasts for a specific period, around 15 minutes, during which the gel is working to whiten your teeth. The light is carefully calibrated to ensure safety and effectiveness, minimizing any potential side effects. The light-activated process is a key differentiator of the Zoom2 system, providing significant enhancements to the whitening outcome.
Step 4 Repeating the Process

To achieve optimal whitening results, the application of the whitening gel and activation with the Zoom2 light is usually repeated multiple times during a single session. The number of cycles varies depending on the initial shade of your teeth and the desired outcome. After each cycle, the dentist will remove the gel, reapply a fresh layer, and repeat the light activation. This repetition ensures that all areas of the teeth are thoroughly treated and that the whitening process is consistent across all surfaces. The entire process is carefully monitored by the dental professional, who assesses the progress and adjusts the treatment as needed. Each cycle builds upon the previous one, gradually lightening the teeth and achieving a brighter, more radiant smile. The repetition also allows for greater control over the whitening process, ensuring the best results while maintaining safety.
Step 5 Post-Treatment Care
After the Zoom2 Whitening procedure, your dentist will provide specific post-treatment care instructions to help you maintain your newly whitened smile and minimize any potential sensitivity. These instructions typically include avoiding certain foods and drinks that can stain your teeth, such as coffee, tea, red wine, and dark-colored berries, for at least the first 24 to 48 hours. It is also recommended to avoid smoking during this time. You may be advised to use a fluoride toothpaste to help strengthen your enamel and reduce sensitivity. In some cases, your dentist may recommend a desensitizing toothpaste or gel to alleviate any discomfort. Regular brushing and flossing, along with scheduled dental check-ups and cleanings, are essential to maintain your bright smile over time. Following these post-treatment care instructions carefully will help preserve the results of your Zoom2 Whitening treatment.
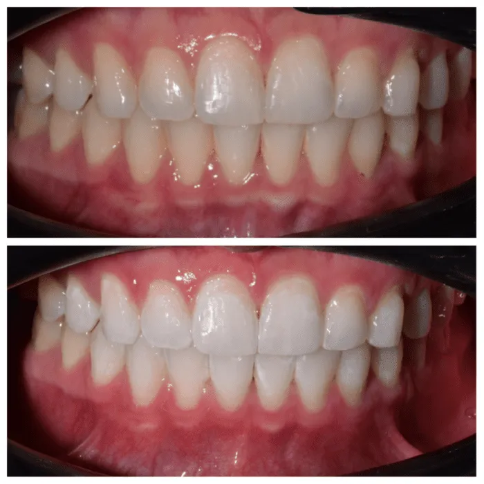
Benefits of Zoom2 Whitening
Zoom2 Whitening offers several significant benefits, making it a popular choice for individuals seeking a brighter smile. The primary advantage is its ability to deliver immediate results. Unlike at-home whitening kits that require weeks of treatment, Zoom2 provides noticeable whitening in just one visit. This rapid transformation is a major advantage for those who want to see a dramatic improvement quickly. Furthermore, Zoom2 Whitening is highly effective in removing stains and discoloration caused by various factors, including aging, genetics, and lifestyle habits like smoking or consuming staining foods and drinks. The professional setting and high-concentration bleaching agent ensure thorough and consistent whitening, often resulting in several shades lighter teeth. The treatment is also performed under the supervision of a dental professional, ensuring safety and minimizing risks. Finally, the entire procedure is relatively quick and convenient, making it easy to fit into a busy schedule while still achieving significant cosmetic results.
Immediate Results

One of the most attractive benefits of Zoom2 Whitening is the immediate and noticeable results it provides. Unlike other whitening methods that require weeks or months of consistent use, Zoom2 offers a significant improvement in the brightness of your teeth within a single appointment. Patients can walk out of the dentist’s office with a visibly whiter smile, making the procedure an excellent choice for those seeking instant cosmetic enhancements. This rapid transformation is particularly appealing for special events like weddings, graduations, or job interviews where a confident and brighter smile can make a significant difference. The instant nature of the results is a key factor in the popularity of Zoom2 Whitening, making it a highly sought-after treatment for quick aesthetic improvements.
Effective Stain Removal
Zoom2 Whitening is highly effective at removing a wide range of stains and discoloration from teeth. The treatment can address stains caused by aging, genetics, and lifestyle choices such as smoking and the consumption of staining foods and drinks, like coffee, tea, and red wine. The high-concentration bleaching agent used in the Zoom2 system penetrates the enamel and dentin to break down stain-causing molecules. This process effectively eliminates both surface stains and deeper discoloration, resulting in a more uniform and brighter smile. The effectiveness of Zoom2 is a major advantage over other whitening options, providing significant improvement in tooth appearance and overall oral aesthetics. The ability to tackle various types of stains makes Zoom2 Whitening a versatile solution for many people seeking to enhance their smiles.
Professional Supervision
A significant advantage of Zoom2 Whitening is that it is performed under the supervision of a dental professional. This ensures the treatment is carried out safely and effectively, minimizing potential risks. Dentists and their staff have the training and expertise to assess your oral health, determine your suitability for the procedure, and adjust the treatment as needed to achieve the best results. Professional supervision allows for the use of a higher concentration of bleaching agents, which can deliver more dramatic results compared to at-home kits. The dentist monitors the process closely, ensuring that your gums and teeth are protected, and that any side effects, such as sensitivity, are managed promptly. This level of professional care offers peace of mind and helps guarantee a positive outcome.
Safety and Side Effects of Zoom2 Whitening

Zoom2 Whitening is generally considered safe when performed by a trained dental professional. However, as with any cosmetic procedure, there are potential side effects to be aware of. The most common side effect is tooth sensitivity, which can occur during and after the treatment. This sensitivity is usually temporary and typically subsides within a few days after the procedure. Gum irritation is another potential side effect, particularly if the bleaching agent comes into contact with the gum tissues. This is usually minimized through the use of protective barriers applied by the dentist. In rare cases, some individuals may experience other side effects, such as mild throat irritation or discomfort. The dentist will discuss all potential risks and side effects with you before the procedure. Proper aftercare, including using desensitizing toothpaste and avoiding staining foods, can help mitigate these issues and ensure a smooth recovery.
Potential Side Effects
The potential side effects of Zoom2 Whitening are typically mild and temporary. The most common side effect is tooth sensitivity, which can manifest as a sharp pain or discomfort, especially when consuming cold or hot foods and drinks. This sensitivity is a result of the bleaching agent penetrating the enamel and can last for a few days after the procedure. Gum irritation is another potential side effect, characterized by redness or soreness of the gums. This can occur if the bleaching gel comes into contact with the gum tissues, but dentists use protective barriers to minimize this risk. Less common side effects include mild throat irritation or discomfort. It’s important to discuss all potential risks and side effects with your dentist before the procedure and follow aftercare instructions carefully. Using desensitizing toothpaste, avoiding staining foods, and practicing good oral hygiene can help reduce the severity and duration of any side effects.
Who is a Good Candidate for Zoom2 Whitening
Zoom2 Whitening is suitable for many individuals looking to enhance the brightness of their smiles. However, not everyone is an ideal candidate. The best candidates are those with generally healthy teeth and gums, with surface stains or discoloration caused by factors such as aging, genetics, or lifestyle choices like coffee, tea, and smoking. Individuals who are looking for quick and dramatic results are particularly well-suited for Zoom2, as the procedure delivers noticeable whitening in a single visit. People who have realistic expectations about the outcome and are willing to follow post-treatment care instructions are also likely to have a positive experience. Consulting with a dentist is crucial to determine if Zoom2 Whitening is the right option for you. The dentist will assess your oral health, discuss your goals, and help you decide if the procedure aligns with your needs.
People with Discolored Teeth

People with discolored teeth are often excellent candidates for Zoom2 Whitening. This procedure is designed to effectively address various types of tooth discoloration, including stains caused by aging, genetics, and lifestyle factors such as coffee, tea, and smoking. The high-concentration bleaching agent in Zoom2 penetrates the enamel and dentin, breaking down stain-causing molecules and removing both surface stains and deeper discoloration. Whether the discoloration is uniform or patchy, Zoom2 can help lighten the overall shade of the teeth and create a more aesthetically pleasing smile. Those who have experienced staining due to medications, trauma, or other causes may also benefit from Zoom2 Whitening, however, the dentist will evaluate to confirm the suitability. The treatment’s effectiveness makes it a popular choice for individuals seeking to restore the natural brightness of their teeth and boost their confidence.
Individuals Seeking Quick Results
Individuals seeking quick results are often the perfect match for Zoom2 Whitening. The primary advantage of this in-office treatment is its ability to deliver noticeable whitening within a single appointment. This makes it ideal for people who want a rapid cosmetic improvement, such as those preparing for a special event or those who simply want a brighter smile without waiting weeks or months. Zoom2 Whitening offers a fast-track solution, providing a convenient and efficient way to achieve a dramatically whiter smile in just one session. The immediate nature of the results allows individuals to quickly enhance their appearance and boost their self-esteem. The fast results make Zoom2 a popular choice for busy people who want a significant cosmetic change without extensive time commitment. The procedure’s ability to provide a quick and effective solution is a key reason why many choose Zoom2 Whitening.
Cost of Zoom2 Whitening
The cost of Zoom2 Whitening can vary depending on several factors, including the location of the dental practice, the experience of the dentist, and the extent of the whitening needed. Generally, the price is higher than at-home whitening kits due to the professional services, specialized equipment, and higher concentration bleaching agent used. It’s essential to discuss the cost with your dentist during the consultation phase to understand the total expenses involved. While the initial cost may seem higher, the convenience of immediate results and the professional supervision often make Zoom2 Whitening a worthwhile investment for those seeking a brighter and more confident smile. Financing options might also be available to help make the treatment more accessible. Considering the value of the results and the long-term benefits to self-esteem, the cost of Zoom2 Whitening can be considered a worthwhile investment for many individuals.
Factors Influencing Cost

Several factors influence the cost of Zoom2 Whitening. One major factor is the location of the dental practice, with prices often higher in metropolitan areas. The experience and reputation of the dentist also play a role; more experienced dentists may charge more for their services. The extent of the whitening treatment needed can affect the cost, with more complex cases potentially requiring additional sessions or procedures. Furthermore, the cost of materials and equipment used in the practice, as well as the overhead costs of the dental office, contribute to the overall price. Before undergoing the procedure, it is vital to discuss the cost with your dentist and determine what is included in the price, such as the initial consultation, the whitening procedure, and any post-treatment care. Understanding these factors can help you budget and make an informed decision about Zoom2 Whitening.
Alternatives to Zoom2 Whitening
While Zoom2 Whitening is a highly effective method for achieving a brighter smile, several alternative teeth whitening options are available. The best choice depends on your specific needs, preferences, and budget. Understanding these alternatives can help you make an informed decision and choose the most suitable method for you. The primary alternatives include at-home whitening kits and other in-office whitening treatments. Each option has its own advantages and disadvantages. Consulting with a dentist is crucial to discuss these alternatives and determine which option best suits your individual circumstances and desired results. Your dentist will consider factors such as your oral health, desired level of whitening, and your budget when recommending a suitable teeth whitening solution.
At-Home Whitening Kits
At-home whitening kits are a popular and more affordable alternative to in-office procedures like Zoom2 Whitening. These kits typically include whitening trays or strips containing a lower concentration of hydrogen peroxide or carbamide peroxide. Over-the-counter kits are readily available and offer a convenient option for those who prefer to whiten their teeth in the comfort of their own homes. Results are generally not as immediate or dramatic as with in-office treatments, and several weeks of consistent use may be required to achieve the desired level of whitening. The effectiveness of these kits depends on the concentration of the active ingredient, the duration of use, and the individual’s teeth and staining. It is essential to follow the product instructions carefully to avoid gum irritation or other side effects. Consulting your dentist before using at-home whitening kits can ensure your suitability and prevent any potential complications. While at-home kits may not provide the same level of whitening as professional treatments, they can be a cost-effective option for those with less severe staining.
Other In-Office Whitening Treatments
Besides Zoom2 Whitening, several other in-office teeth whitening treatments are available. These treatments also offer the benefits of professional supervision and typically provide more dramatic results than at-home options. Some dental practices use other light-activated whitening systems similar to Zoom2, while others may use different bleaching agents or techniques. The specific method and products used can vary based on the dentist’s preferences and the patient’s needs. For instance, some dentists may use a combination of whitening gels and custom-fitted trays to enhance the effectiveness of the treatment. The cost of these in-office treatments can vary, but they typically fall within a similar price range as Zoom2 Whitening. The choice of the most suitable in-office whitening treatment depends on factors such as the patient’s degree of discoloration, desired results, and the dentist’s recommendations. Consulting with a dentist can help you determine the best whitening procedure for your individual needs.
